Аномалии строения и пороки развития зубов
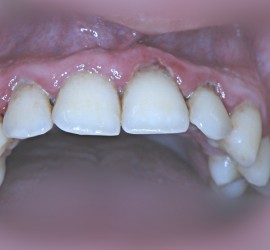
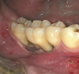
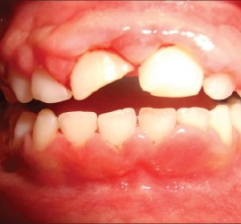
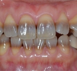
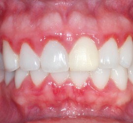
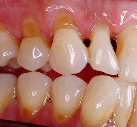
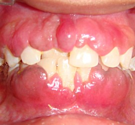
Аномалии строения и пороки развития зубов Пороки тканей зуба многообразны, они могут проявляться изолированно и сочетаться с аномалиями строения и пороками развития органов и систем всего детского организма, в том числе челюстно-лицевой области. Ткани зуба имеют эктодермальное (эмаль) и мезодермальное (дентин, пульпа, цемент) происхождение. В связи с этим пороки эмали […]

