Пациент М. обратился в стоматологическую клинику в июне 2017 г. по поводу диагностированного у него периодонтита 33 зуба во время рентгенологического обследования ротовой полости. Обследовавший стоматолог-терапевт порекомендовал удалить 33 и 32 зубы с последующей имплантацией в области этих зубов.
Жалобы: У пациента жалобы отсутствовали.
Объективно: Подвижность зубов 32 и 33 I степени. Свищ на вестибулярной поверхности между 33 и 34 зубами. Перкуссия 33 зуба безболезненная, термометрия безболезненная. На вестибулярно-дистальной поверхности пломба. ЭОД выше 200 μА. 32 интактный. ЭОД 6 μА. Термометрия болезненная, боль проходит сразу, перкуссия безболезненная. На компьютерной томограмме очаг просветления в области 33 и 32 зубов (периапикальный абсцесс) размером 16×16×6 мм. В анамнезе отсутствовали жалобы на боль в 33 зубе. После трепанации 33 зуба и инструментальной обработки корневого канала произошло обильного выделение гноя.
- Свищ при периапикальном абсцессе
- Гной на файле
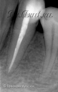
- 33 зуб с периапикальным абсцессом
- 33 зуб с периапикальным абсцессом
- 33 зуб с периапикальным абсцессом
- 33 зуб с периапикальным абсцессом
- 33 зуб с периапикальным абсцессом
Диагноз: K04.62 (периапикальный абсцесс со свищем имеющий сообщение с полостью рта).
Такие клинические ситуации являются абсолютным показанием к удалению зубов. Но с согласия пациента было решено произвести пробное консервативное лечение периодонтита 33 зуба. Скорее всего причиной воспаления стал токсический пульпит 33, в дальнейшем осложнившийся воспалением периодонта.
Лечение: Трепанация зуба через язычную стенку 33 зуба. Расширение устья канала. Инструментальная (протейперы до 06 40) и медикаментозная обработка корневого канала 3% гипохлоритом натрия и 3% перекисью водорода. Канал был высушен и временно запломбирован пастой изготовленной из Кальцетин порошка и 2% хлоргексидина. Наложена временная пломба Парасепт. Назначено повторное посещение через месяц.
Через месяц (июль 2017) пациент также не предъявлял жалобы. Была произведена инструментальная и медикаментозная обработка корневого канала (3% гипохлоритом натрия и 3% перекисью водорода). Канал также временно запломбирован пастой изготовленной из Кальцетин порошка и 2% хлоргексидина. Наложена временная пломба Парасепт. Повторное посещение через 3 месяца.
Через 3 месяца (октябрь 2017) пациент также не предъявлял жалоб. Была произведена инструментальная и медикаментозная обработка корневого канала (3% гипохлоритом натрия и 3% перекисью водорода). Канал также временно запломбирован пастой изготовленной из Кальцетин порошка и 2% хлоргексидина. Наложена временная пломба Парасепт. Повторное посещение через 3 месяца.
Через 3 месяца (явнарь 2018) пациент также не предъявлял жалоб. Была произведена инструментальная и медикаментозная обработка корневого канала (3% гипохлоритом натрия и 3% перекисью водорода). Канал также временно запломбирован пастой изготовленной из Кальцетин порошка и 2% хлоргексидина. Наложена временная пломба Парасепт. Повторное посещение через 3 месяца.
Через 3 месяца (апрель 2018) пациент также не предъявлял жалоб. Была произведена инструментальная и медикаментозная обработка корневого канала (3% гипохлоритом натрия и 3% перекисью водорода). Канал запломбирован AH plus с гуттаперчевым штифтом методом вертикальной конденсации. На момент пломбирования оставался небольшой очаг просветления в области верхушки корня 33 зуба. Остальная часть костной ткани восстановилась, в том числе и периодонт.
Через год (апрель 2019) была произведена контрольная рентгенография 33 зуба. На рентгенограмме мы видим полное восстановление костной ткани.










