Гингивит у детей — воспаление десны. По клиническому течению: острый, хронический. По локализации: локализованный, генерализованный. По клинически выраженному патоморфологическому признаку: катаральный, язвенный, гипертрофический. По этиологии: гингивит — самостоятельное заболевание вследствие бактериальной и вирусной инфекции, местной аллергической реакции, негигиенического содержания полости рта, в результате проявления диспропорций роста челюстей (аномалии и деформации) и неадекватной реакции функционально незрелой ткани на обычные раздражители и др. генерализованный гингивит — симптом (изменение) при остром герпетическом стоматите, пародонтите, авитаминозах, эндокринных нарушениях в пубертатном возрасте, системных заболеваниях у детей, находящихся на лечении в стационаре, при заболеваниях ЦНС и др.
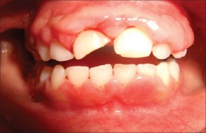
Катаральный гингивит характеризуется гиперемией, отеком слизистой оболочки десны (всей при генерализованном процессе) и соответственно одному или группе зубов при локализованном воспалении.
Десневой край болезнен, легко кровоточит. На зубах — окрашенный кровью зубной налет, неприятный запах изо рта.
Если нет острого или хронического системного заболевания, при котором гингивит отражает закономерности его патогенеза, то генерализованный гингивит чаще является признаком дисфункции яичников в период становления половой функции. Патологический процесс развивается особенно упорно, если ему сопутствует тесное положение зубов и другие аномалии прикуса, обусловливающие неравномерную нагрузку на пародонт и повышенную травму десневого края.
При локализованном катаральном гингивите следует искать, скрытую кариозную полость (И), нависающую над десной пломбу, тесное расположение зубов и перегрузку группы зубов, соответственно которым в десне возникло воспаление.
Острый катаральный гингивит не сопровождается деструктивными изменениями в альвеолярном крае кости челюсти. Если острому гингивиту сопутствуют деструктивные изменения в кости, то его следует рассматривать как обострившийся хронический процесс (пародонтит). Рентгенологическая картина может отражать разные виды и степени развития деструкции кости.
Для хронического пародонтита в начальной стадии характерны разрушение целости замыкающей пластинки кости в области верхушек межзубных перегородок, деструктивные изменения, преимущественно равномерные по мере развития патологического процесса, полностью разрушенные костные межзубные перегородки. Оценивая рентгенограммы у детей, следует помнить, что при редком расположении зубов, наличии трем форма костной межзубной перегородки уплощена. В случае плотного расположения зубов верхушки межзубных костных перегородок заострены. Завершается обызвествление межзубных перегородок соответственно завершению роста и формирования корней зубов данной области. У детей до 15 лет оценивать рентгенологическую картину костной ткани пародонта необходимо в сочетании с клиническим исследованием, поскольку уплощенный костный участок межзубной перегородки может быть еще необызвествленным или отставать в обызвествлении из-за недостаточной функции при открытом прикусе в этой области.
Лечение катарального гингивита предусматривает устранение причины заболевания, применение средств противовоспалительного действия и нормализацию гигиенического состояния полости рта.
Начинают лечение с гигиены полости рта. Несмотря на болезненность десны и кровоточивость, осторожно, при необходимости прибегая к аппликационной анестезии, ватными тампонами снимают налет с зубов, удаляют содержимое из межзубных промежутков. Полосканием удаляют пищу из кариозных полостей и приступают к лечению воспаления десны. Для этого используют растворы протеолитических ферментов — 0,2-0,5% растворы трипсина, химотрипсина и др. (но ни в коем случае желудочный сок, содержащий соляную кислоту), мази, преимущественно глазные, стандартные, содержащие антибиотики (полимиксиновая, дибиомициновая и др.), растворы антибиотиков, антисептиков, обладающих подавляющим действием на простейшие (ротовые трихомонады); 1% раствор трихопола, 1% раствор трихомонацида, растворы фурацилина, цитраля, микроцида; противовоспалительные средства растительного происхождения (сок каланхоэ, календула, настойка чистотела и др.).
Гигиенический уход за полостью рта составляет существенное звено в комплексной терапии всех гингивитов (см. Профилактика стоматологических заболеваний).
Наибольшая эффективность этой меры достигается при условии, если врач в течение всего периода лечения контролирует гигиеническое состояние полости рта и при необходимости обучает ребенка основным правилам ухода за зубами. Одно из первых посещений отводится для урока гигиены полости рта. По мере выздоровления дети приносят свои зубные щетки и пасты. Для выявления зубного налета поверхность зубов окрашивают йодсодержащим раствором, и тогда наличие зубного налета можно легко выявить по участкам, интенсивно окрашенным в темно-коричневый цвет. Поверхность зубов, свободная от налета, не окрашивается. Врач вычисляет индекс гигиены по методике, предложенной Ю.А. Федоровым и В.В. Володкиной, и заносит его в историю болезни и карту диспансерного наблюдения.
Ребенку показывают в зеркало окрашенный налет и предлагают самостоятельно удалить его с помощью щетки и зубной пасты. Если налет полностью не удален, процедуру повторяют до полного удаления налета. Обучая ребенка индивидуальной методике, надо ориентировать его на удаление налета с тех поверхностей зубов, где он выявлен с помощью окрашивания. В этом случае ребенок выбирает сам нужные движения, подчиняя их цели, а не наоборот.
В некоторых случаях при наличии на поверхности зубов трудно снимаемых зубных бляшек врач может воспользоваться специальными средствами (раствор трипсина, резиновые чашечки для очищения поверхности зубов, механические щетки, зубной порошок или другой абразивный материал, используемый для полирования поверхности зубов). Боковые поверхности зубов обрабатывают флоссами или шелковой нитью (см. Профилактика стоматологических заболеваний).
После сеанса максимального очищения поверхности зубов ребенок должен постоянно поддерживать гигиеническое состояние полости рта. В дальнейшем на зубах образуется мягкий, легко удаляемый зубной налет и если дважды в день, пользуясь рекомендованной методикой, регулярно чистить зубы, можно предупредить образование плотных, трудно снимаемых зубных бляшек. Достижение хорошего гигиенического состояния полости рта необходимо сочетать с санацией полости рта, качественным пломбированием зубов, удалением разрушенных зубов и корней.
Для очищения зубов от налета рекомендуется использовать обычные гигиенические пасты («Мятная», «Апельсиновая», «Ягодка» и др.), а также зубные пасты, обладающие повышенным очищающим действием. К ним относятся пенообразующие пасты: «Бальзам», «Мери» и др., а также содержащая протеолитические ферменты паста «Бело-розовая».
При заболеваниях пародонта рекомендуют использовать средства, в состав которых входят вещества противовоспалительного и специального действия. С этой целью можно рекомендовать зубные пасты «Лесная», «Ламинария», «Айра», «Жемчуг» и др. (см. Профилактика стоматологических заболеваний).
Язвенный гингивит может быть следствием нелеченого катарального гингивита, а также формироваться как первичный язвенно-некротический гингивит. В клинике язвенный, язвенно-некротический и катаральный гингивит всегда присутствуют одновременно, хотя выражены бывают в разной степени. Язвенным считают процесс, при котором изъязвления ярко выражены.
Развитию сформированного язвенного гингивита на месте катарального способствует ухудшение общего состояния, которому сопутствует гингивит, или снижение реактивности организма любой этиологии.
Клиническая картина и диагноз. На фоне воспаления (гиперемия, цианоз, отек) обнаруживается изъязвление десневого края. В начальной стадии процесса оно выявляется после удаления мягкого налета с зубов, обработки десневого края раствором перекиси водорода. При выраженной стадии изъязвления обнаруживаются в области прикрепления уздечек, местах повышенной травмы. Язвенные поверхности покрыты фибринозным или некротическим налетом, имеется гнилостный запах изо рта. Подчелюстные лимфатические узлы увеличены, подвижны, слегка болезненны. Ребенок бледный, вялый, температурит. Зубы слегка подвижны. Деструктивные изменения в кости рентгенологически не выявляются.
Дифференциальный диагноз следует проводить с пародонтальным синдромом при диабете, гистоцитозе X, ладонно-подошвенном дискератозе, нейтропениях и других заболеваниях крови.
Лечение язвенного гингивита следует проводить комплексно, предусмотрев местную терапию и лечение основного заболевания или использование средств повышения естественных защитных сил организма.
Местное лечение в дополнение к общеизвестным методам противовоспалительного лечения должно включать хорошую оксигенотерапию, попеременное промывание язвенных поверхностей и межзубных промежутков ватными фитильками, смоченными в 3% растворе перекиси водорода и растворе перманганата калия (1:1000).
Каждый сеанс лечения начинается с гигиенической обработки рта с использованием средств, выделяющих кислород, и завершается укрытием язв кератопластическими средствами (каратолин, масло шиповника, облепихи, солкосерил, бальзам Шостаковского, ретинол и др.). Хорошие результаты дает облучение лазером.
Гипертрофический гингивит — заболевание, которому предшествовало хроническое катаральное воспаление, или возникшее первично. Наиболее распространено у детей в предпубертатном и пубертатном возрасте. Ведущим патогенетическим фактором является разрушение защитной роли эпителия десны, обусловленное повышенной его десквамацией из-за аритмии гормонального регулирования процессов эволюции эпителия. Существуют и другие причины гипертрофии десны.
Клиническая картина характеризуется гипертрофией десневых сосочков, которые могут быть рыхлыми, кровоточащими, «разрезанными» разрастаниями эпителия по поверхности грануляционной ткани гипертрофированной десны. Гипертрофированные десневые сосочки плотные, бледные, не кровоточащие. Проба Шиллера отрицательная. Зубодесневой карман — ложный.
Формированию стойких гипертрофических гингивитов способствуют аномалии прикуса, тесное положение и неравномерная нагрузка зубов.
Гипертрофический гингивит следует дифференцировать с некоторыми формами фиброматоза десен.
Лечение хронического гипертрофированного гингивита проводится с использованием не только противовоспалительных, но и склерозирующих средств.
Наиболее перспективными являются применение криовоздействия, введение в десневые гипертрофированные сосочки гипертонического (60-65%) раствора глюкозы, электрофорез раствора гепарина или лекарственных пленок геля с гепарином и др.
В случае выраженной гипертрофии применяется электрофорез лидазы, ронидазы в буферном растворе при pH 5,2. Курс лечения 15-20 процедур по 20 мин через день.
Электрофорез гепарина (5000 ЕД в 1 мл) применяется по следующей методике: марлевые прокладки увлажняются дистиллированной водой из расчета 1 мл на каждую, а затем из шприца равномерно на увлажненную марлю наносится 1 мл раствора гепарина. Гепарин вводится с катода в течение 12-15 мин, курс лечения составляет 10-12 ежедневных процедур.
Для лечения хронического гипертрофического гингивита применяется вакуум-массаж.
Традиционным остается использование средств, оказывающих комплексное противовоспалительное и склерозирующее воздействие. К ним относятся растворы сангвинарина, гербадонта, фитодонта, мараславина и др., применяемые с помощью тампонов и турунд. Прибегать к склерозирующей терапии рекомендуется лишь после снятия воспалительного отека.
Для лечения гипертрофического гингивита используют физиотерапию, гидротерапию искусственной минеральной водой с CO2 при температуре 38°С по 15 мин через день или каждый день, 15-20 процедур на курс лечения; электрофорез 5% раствора калия с йодом, сила тока 0,4-0,6 мА, внутриротовые электроды, продолжительность сеанса 20 мин, курс лечения 15-20 процедур через день (после гидротерапии, если она применяется).
При обострении хронического гингивита целесообразно применение УФО лампой интегрального излучения, начиная с 2 биодоз, прибавляя по 0,5 биодозы через день, на курс 3-5 процедур — до 2 биодоз.
Устранение зубочелюстных аномалий является важным в лечении гингивитов. Ортодонтическое лечение начинают после того, как проведено гигиеническое обучение и сведены до минимума явления воспаления в десне и пародонте. В связи с началом ортодонтического лечения возможно обострение заболевания, однако это не является противопоказанием к его продолжению. В подобных случаях каждое посещение ортодонта следует сочетать с посещением пародонтолога или физиотерапевта и всегда контролировать состояние гигиены полости рта.
Проводя активное ортодонтическое лечение, следует помнить о передозировке ортодонтического воздействия. Признаками передозированного лечения можно считать увеличение подвижности зубов, усиливающуюся гиперемию, отек десны, положительную пробу Шиллера, в более тяжелых случаях гиперплазию тканей десны.


