Гипертрофический гингивит.
Этиология и патогенез. Гипертрофический гингивит встречается реже, чем катаральный. Локализованный гипертрофический гингивит наблюдается преимущественно в области резцов и клыков нижней и верхней челюсти, причем в юношеском возрасте в 3-4 раза чаще. В этиологии локализованных поражений наибольшее значение имеют местные факторы: аномалия прикуса (глубокий, открытый или косой), аномалии положения зубов (скученность фронтальной группы, сверхкомплектные зубы). В этиологии генерализованных гипертрофических гингивитов определяющими являются изменения гормонального фона организма (ювенильные гингивиты, гингивиты беременных, прием контрацептивных препаратов), прием дифенина. а также системные заболевания белой крови. Гипертрофические гингивиты имеют отечную и фиброзную форму.
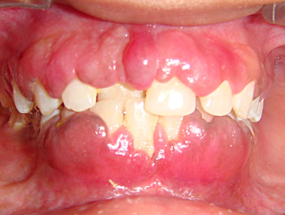
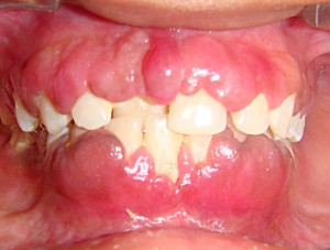
Клиническая картина и диагноз. Клиническая картина отечной формы гипертрофического гингивита характеризуется жалобами больных на выраженную кровоточивость десен при приеме пищи, чистке зубов, на явные косметические дефекты, неприятный запах изо рта. При объективном обследовании больного определяется значительное увеличение объема межзубных сосочков и десневого края, которые имеют синюшный оттенок и блестящую поверхность. При инструментальном обследовании регистрируются кровоточивость десен, обилие мягкого зубного налета, образование ложнопатологических зубодесневых карманов с обильным содержанием детрита. Дополнительные методы исследования дают слабоположительную пробу Шиллера-Писарева, уменьшение времени образования гематом (менее 60 с), увеличение индексов гигиены (более 1,0) и РМА (более 0). Морфологические изменения при отечной форме гипертрофического гингивита выражаются в отеке эпителиального слоя и основного вещества соединительной ткани, увеличения кислот мукополисахаридов, расширении сосудов и инфильтрации лимфоцитов и плазматических клеток. Клиническая картина фиброзной формы бедна симптоматикой и характеризуется разросшейся слизистой оболочкой десны, при этом десневые сосочки в цвете не изменены, не кровоточат, десневой край имеет неблестящую бугристую поверхность. Обнаруживаются ложнопатологические зубодесневые карманы с незначительными выделениями секрета. Проба Шиллера-Писарева отрицательная, время образования гематом около 60-70 сек, индекс гигиены равен 1,0, а РМА — 0. При фиброзной форме гипертрофического гингивита наблюдаются пролиферация эпителия в глубь соединительной ткани (акантоз), пролиферация фибробластов, увеличение коллагеновых волокон, редкие очаги воспалительной инфильтрации.
Дифференциальный диагноз проводится внутри нозологической формы гингивитов и с симптоматическими гингивитами, которые сопровождаются выраженными изменениями других слизистых оболочек и организма в целом.


