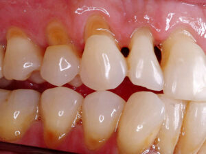
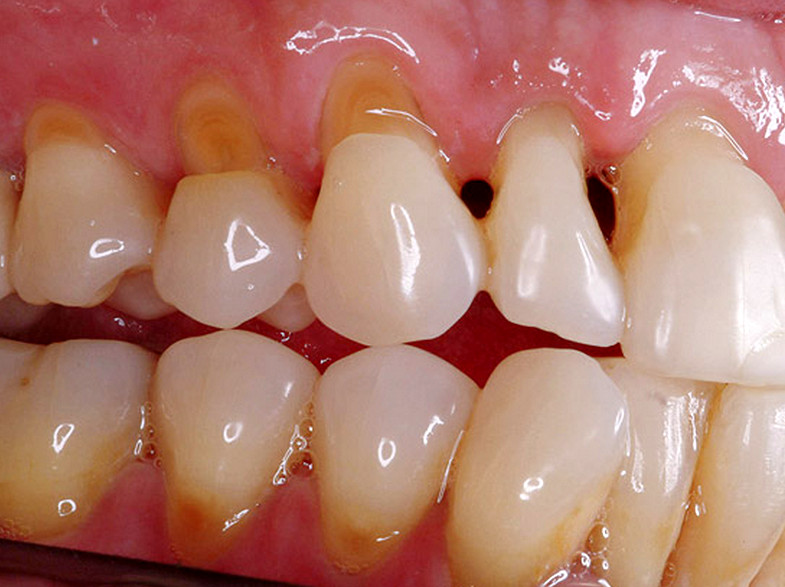
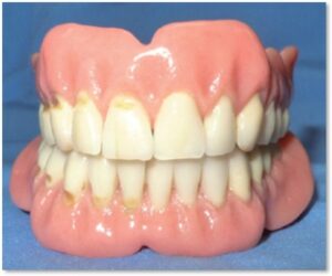
Существует две основные причины развития клиновидного дефекта: абразивный износ зубов из-за неправильной чистки щёткой (K03.10 — вызванное зубным порошком) и абфракция. Абфракция переводится с латинского как отлом. Это отлом (скалывание) эмалевых призм в области повышенного напряжения в результате действия повышенных функциональных нагрузок на зуб. Повышенные нагрузки могут быть обусловлены травматической окклюзией и/или парафункцией жевательных мышц (бруксизм). Обычно вектор таких нагрузок направлен по горизонтальной плоскости и приводит к возникновению зон сжатия и растяжения в пришеечной области зуба (нагрузки на изгиб зуба). Из-за усталостных нагрузок твёрдых тканей зуба, хрупкая эмаль начинает скалываться, в дальнейшем процесс отягощается и переходит на дентин. С убылью твёрдых тканей, зуб становится тоньше и нагрузка на оставшиеся ткани увеличивается. Основным дифференциальным отличием абразивного износа от абфракции является форма клиновидного дефекта. При абразивном износе форма клиновидного дефекта напоминает клин и на начальном этапе имеет острую вершину. При абразивном износе вершина всегда закруглена, так как он обусловлен сошлифовыванием щёткой, а с помощью щётки всегда получается округлая поверхность. Также возможно сочетание абфракции с абразивным износом. При выверении окклюзионных контактов, обнаружение травматической окклюзии или блокирования движения нижней челюсти зубом или зубами является важным признаком абфракции. Ещё одним признаком абфракции является наличие трещин на эмали и/или повышенного истирания, что является признаком повышенных нагрузок на зуб. Абфракция также присуща искусственным зубам на съёмных протезах.
- Клиновидный дефект (абфракция)
- Абфракция съёмного протеза
Согласно данным А. С. Бурлуцкого (1984), клиновидные дефекты встречаются в 34,75% случаев, причём каждое пятилетие прирост их составляет 3,5%. Чаще поражаются клыки обеих челюстей (36,16—37,64%), затем следуют премоляры (20,58—23,63%), моляры (13,53—18,82%) и резцы (3,63—8,82%). Зубы с такими дефектами редко поражаются кариесом (18,48%) и бывают в основном у лиц среднего и пожилого возраста.
Развитие этой патологии связывают с травматической окклюзией, абразивным износом зуба, дистрофией тканей зуба, обусловленной нарушениями эндокринной системы, ЦНС, поражениями желудочно-кишечного тракта и другими заболеваниями.
В развитии клиновидного дефекта различают следующие периоды: продромальный — в поражённых зубах ощущается оскомина без видимых морфологических изменений коронки зуба; начальный — на коронке зуба в пришеечной области отмечаются одиночные или множественные штрихи; сформировавшийся — наличие дефекта, боли от термических раздражителей.
Различают пришеечные, коронковые и корневые дефекты.
Пришеечные дефекты встречаются в 45—53% случаев, чаще поражаются оба премоляра верхней челюсти и первые моляры нижней. Они локализуются на эмалевоцементной границе, образуются одинаковыми поверхностями, которые сходятся под острым, близким к прямому углом. Дефекты распространяются вглубь, сохраняя постоянство своей формы; развиваются медленно. Прилегающая к ним десна расположена на уровне их края и слабо воспалена.
Коронковые дефекты появляются в 25,47% случаев, поражают резцы и клыки верхней челюсти и премоляры нижней, развиваются довольно быстро. Для них характерно распространение дефекта по поверхности коронки зуба. При этом придесневая стенка составляет с осью зуба прямой угол, а коронковая имеет пологое направление. Дефект расположен над краем десны на расстоянии 0,5—2 мм. Атрофия и воспаление десны отсутствуют.
Корневые дефекты развиваются в 29% случаев, чаще поражают клыки и вторые моляры верхней челюсти и первые моляры нижней, распространяются в глубь и в сторону корня. Они локализуются на эмалевоцементной границе, редко достигают большой глубины. Десневая стенка имеет пологое направление, а коронковая строго отвесна. Десна с вестибулярной стороны атрофирована до ½ корня зуба.
Во всех случаях дентин зуба в области дефекта уплотнён, склерозирован, часто пигментирован.
Клиновидный дефект дифференцируют с эрозией эмали, поверхностным и средним кариесом, кислотным некрозом зубных тканей.
Основным лечением является восстановление пломбировочным материалом, нормализация окклюзии (устранение травматической окклюзии и бруксизма) и обучение стандартной методике чистки зубов.
Профилактика абфракции — нормализация окклюзии, устранение парафункции жевательных мышц. Профилактика абразивного износа — обучение стандартной методике чистки, использование щетины средней жёсткости и зубной пасты вместо зубного порошка.



