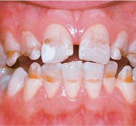
Лечение пульпита
Лечение пульпита. При лечении пульпита перед врачом встают следующие задачи: избавление больного от болевых ощущений, ликвидация инфекционно-токсического очага в пульпе зуба, восстановление формы и функции зуба. Первую помощь больному острым пульпитом может оказать средний медработник или врач любого другого профиля. Она заключается в назначении внутрь обезболивающих препаратов типа анальгина, амидопирина, […]

