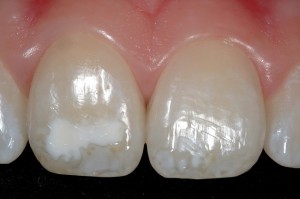
Очаговая гипоплазия


Очаговая гипоплазия. Проявляется нарушением развития тканей зуба преимущественно в одном или нескольких зубах одновременно. Возникает в результате травмы фолликула, под влиянием хронического воспаления в периодонте молочного зуба или опухоли челюсти.

Очаговая гипоплазия

Очаговая гипоплазия

Клиническая картина. В молочных зубах встречается в результате травмы зачатка при переломе челюсти, когда линия перелома проходит через фолликул зуба. Фолликул постоянного зуба может повреждаться при вколоченном вывихе молочного зуба. В зависимости от стадии развития зачатка, силы удара и места приложения силы возникают изменения тканей зуба различной интенсивности. Местная гипоплазия тканей зуба в результате влияния очага хронического воспаления при хроническом периодонтите, остите или остеомиелите челюсти чаще наблюдается на премолярах, так как соответствующие им молочные моляры чаще поражаются кариесом, следовательно, и периодонтитом.

Имеет значение и топографическое соотношение корней молочных зубов и зачатков постоянных. Травма и инфекция нарушают функцию амелобластов, в тяжелых случаях и одонтобластов, в результате чего эмаль и дентин формируются необычно и зуб приобретает неправильные форму, вид. Такие зубы получили название зубов Турнера, по имени автора, описавшего впервые эту разновидность патологии.

Лечение обусловлено глубиной разрушения тканей зуба. При гипоплазии в виде белого пятна проводится ремтерапия. При гипоплазии в виде темного, коричневого пятна — декальцинация с последующей ремтерапией (см. Флюороз). При гипоплазии в стадии дефекта рекомендуется использовать композитные материалы.

Поделиться в: