Пародонтомы. В эту группу заболеваний пародонта включены все новообразования, исходящие из тканей пародонта как доброкачественного, так и злокачественного характера. В клинической практике чаще всего встречаются фиброматоз десен и эпулис.
Этиология и патогенез неизвестны.
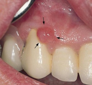
Клиническая картина и диагноз. Для фиброматоза характерны бугристые разрастания слизистой оболочки десны по всему альвеолярному отростку. Течение заболевания медленное, прогрессирующее. Разрастания безболезненные, вид слизистой оболочки не изменен. На рентгенограмме костная ткань, как правило, без изменений, возможен незначительный остеопороз. Эпулис характеризуется разрастанием десны, чаще межзубного сосочка на ограниченном участке. С точки зрения патологической картины могут быть фиброзные, сосудистые и гигантоклеточные эпулисы. На рентгенограмме определяется очаговый остеопороз межзубной альвеолярной перегородки.
Дифференциальный диагноз проводится с локализованными и генерализованными гингивитами.
Лечение хирургическое.


