Архивы: Словарь терминов


Адаптация

(лат. adaptatio — прилаживание) — в ортопедии привыкание к ношению протеза.


Адаптер

Адаптер — в ортопедии и ортодонтии инструмент с сильными, отвинчивающимися ручками и изогнутой, рифленой рабочей частью для подготовки колец к форме зубов.


Адгезив Adper™ Single Bond 2 3M ESPE

Адгезив

специальное клеевое вещество, чаще всего на основе метакрилатов, отвечающее за соединение твёрдых тканей зуба с композиционными материалами, ормокерами, керамерами, компомерами, пластмассами и т.д..


Адгезивный (adhaesivus)

(лат. adhaesia — липкий, прилипающий) — свойство воска, пластыря, применяемого в зубопротезной технике.


Адгезивный мостовидный протез

Адгезивный мостовидный протез

Адгезивными мостовидными протезами называются мостовидные протезы опорными элементами которых являются не коронки, а разнообразные несъемные приспособления, фиксируемые к опорным зубам с помощью адгезивных композиционных материалов. Существует три метода изготовления адгезивных мостовидных протезов: 1.Клинический (прямой) 2.Лабораторный (непрямой) 3.Комбинированный (сочетание прямого и лабораторных методов) Самым оптимальным методом изготовления адгезивных мостовидных протезов является […]


Адгезия

Адгезия — это сила, которая соединяет два разнородных материала, приведенных в близкий контакт. Адгезия отличается от когезии, которая является притяжением между одинаковыми атомами или молекулами в пределах одного вещества.


Аддукция

(<лат. adductio — приведение) — например, нижней челюсти при закрывании рта.


Аденит

(<греч. aden — железа) — воспаление лимфатических желез (например, аденит протетический на почве травмы слизистой оболочки неточными краями съемного протеза).


Аденокарцинома

Аденокарцинома

Аденокарцинома — злокачественные эпителиальные опухоли, образующие железистые и папиллярные структуры, но не имеющие характерных признаков других видов рака слюнных желез. Возникают как в больших, так и в малых слюнных железах. Гистологически связаны с протоками слюнных желез. Наиболее характерные морфологические признаки аденокарциномы слюнных желез — пролиферация эпителия в протоковых образованиях в виде […]


Аденолимфома

Аденолимфома — опухоль слюнных желез, преимущественно располагающаяся в околоушной слюнной железе. Встречается крайне редко. Округлой формы образование эластической консистенции с четкими границами.Гистологически состоит из железистоподобных эпителиальных структур, лежащих среди лимфоидной ткани. Лечение хирургическое.


Аденома плеоморфная (полиморфная, смешанная опухоль)

Аденома

Аденома мономорфная — редко встречающаяся опухоль слюнных желез, клинически не отличающаяся от аденолимфомы. Гистологически эпителий в ней образует правильные железистые структуры, в которых нет мезенхимальной ткани, характерной для плеоморфной аденомы. Лечение хирургическое. Аденома оксифильная (онкоцитома) — разновидность мономорфных аденом. Встречается крайне редко. Клинические признаки патогномоничны для аденомы. Преимущественно локализуется в околоушных […]


Аденофлегмона

Этиология. Воспаление лимфатического узла возникает в результате заноса инфекции лимфогенным путем. Гнойное воспаление развивается в пределах капсулы лимфоузла. Наиболее частой причиной является одонтогенная инфекция. Клиническая картина. Явление воспалительного инфильтрата с четко ограниченными границами. Инфильтрат плотный, болезненный, с гиперемированной кожей над ним, в период расплавления— с флюктуацией, повторяет расширенные границы регионарного […]


Адентия

Адентия

врожденное отсутствие зубов и их зачатков. Различают адентию частичную (отсутствие некоторых зубов) и полную (отсутствие всех зубов). Полная адентия встречается редко.


Адентия вторичная (adentia secundaria)

образуется после удаления (выпадения) зубов в прикусе молочных или постоянных зубов в связи с кариесом, одонтогенным воспалительным процессом, операцией по поводу опухоли и других причин.

Вторичная адентия

Азотная кислота (HNO3)

неорганическая кислота. В чистом виде бесцветная жидкость, плотность 1,50 г/см3, кипит при 83,8°С, при — 42°С застывает в прозрачную кристаллическую массу. Хорошо и в любом отношении смешивается с водой, на свету быстро разлагается, пары ее, смешиваясь с воздухом, образуют «дым» с едким раздражающим запахом.

Азотная кислота, HNO3

Аккомодатор

модификация активатора — накусочная пластинка (накладывается на нижний зубной ряд) для разобщения зубных рядов, применяется при лечении глубокого резцового перекрытия.


Аккомодация

(<лат. accomodatio — приспособление) — в стоматологии — жевание на определенной стороне.


Акриловый стоматит

Акриловый стоматит

Акриловый стоматит — возникает вследствие токсического действия мономера акриловой пластмассы на слизистую полости рта.


Акрилоксид

Акрилоксид — пломбировочный самотвердеющий материал (ТУ 64-2-124-82) выпускается фирмой «Стома» (Украина). Акрилоксид рекомендуется применять: 1) для пломбирования кариозных полостей постоянных и молочных зубов, преимущественно фронтальных зубов для кариозных полостей III, IV и V классов; 2) для изготовления вкладок, восстанавливающих анатомическую форму зуба; 3) для восстановления углов передних зубов и восполнения […]

Акрилоксид

Активатор Андрезена-Хойпля с внеротовой тягой

Активатор Андрезена-Хойпля

относится к съемным ортодонтическим аппаратам, состоит из двух пластинок — для верхней и нижней челюсти, соединенных между собой по линии окклюзии. У аппарата имеется вестибулярная ретракционная дуга, которая выходит из базиса между клыками и премолярами. При показаниях к расширению зубных рядов к аппарату добавляют винт или пружину Коффина и распиливают его. Выступы пластмассы, прилегающие к мезиальной поверхности зубов, препятствуют мезиальному перемещению последних и росту челюсти; прилегающие к дистальной поверхности зубов способствуют их мезиальному перемещению и стимулируют рост челюсти. С помощью активаторов перестраивается соотношение зубных рядов и элементов височно-челюстного сустава; это влияет на рост костей лицевого скелета и расположение мягких тканей, т. е. на форму лица. Сокращение мышц, прикрепляющихся к нижней челюсти, действие винта и вестибулярной дуги способствуют росту челюстей и исправлению положения зубов.


Активаторы

Активаторы. Андрезена — Хойпля метод применяют для лечения аномалий прикуса с помощью моноблокового аппарата, названного активатором. Принцип метода: фиксация нижней челюсти в определенном положении, активация роста отстающей в развитии челюсти посредством прилегающих к зубам наклонных плоскостей, создание условий для нормализации функций жевательных мышц и круговой мышцы рта. Активатор Андрезена — […]

Соотношение зубных рядов и типы формирователей прикуса Бимлера для лечения дистального прикуса, сочетающегося с протрузией (а) и ретрузией (б) верхних передних зубов, а также для лечения мезиального прикуса (в).

Бионатор Янсон на моделях челюстей, сложенных в конструктивном прикусе (а) и с лицевой дугой — вид сверху (б); устройство Хорошилкиной и Токаревича на моделях челюстей (в), натяжение резинового кольца между крючками (г)

Активаторы модификации

Активаторы модификации имеют разные названия, подчеркивающие особенности их устройства и действия. Представляют собой сочетания элементов известных ортодонтических аппаратов.Бальтерса бионатор бывает трех видов. Первый предназначен для устранения сужения зубных рядов и глубокого прикуса. Бионатор состоит из язычных боковых пластмассовых щитов, препятствующих проникновению языка между зубными рядами. Эти щиты начинаются от дистальной […]


Актиномикоз

Актиномикоз — хроническое специфическое заболевание, вызванное лучистыми грибами. Этиология. Лучистые грибы, являясь сапрофитами, локализуются в полости рта, верхних дыхательных путях, желудочно-кишечном тракте. Причиной возникновения актиномикоза обычно является снижение сопротивляемости организма, его иммунной защиты при острых и хронических одонтогенных процессах, гриппе, ангине и др. В челюстно-лицевой области причиной заболевания может стать […]

Актиномикоз

Ангионевротический отек Квинке

Аллергические заболевания и поражения слизистой оболочки полости рта

Аллергические заболевания и поражения слизистой оболочки полости рта. Аллергия Аллергия — гиперчувствительность — состояние повышенной чувствительности отдельных лиц в ответ на повторное введение аллергенов. Аллергенами могут быть вещества белковой и небелковой природы, в том числе и собственные ткани организма (аутоаллергены). Характер клинических симптомов определяется преобладанием одного из типов аллергических реакций. […]


Аллергия в стоматологии

Аллергия в стоматологии — состояние повышенной чувствительности организма в ответ на повторное введение аллергенов. В стоматологии аллергия чаще всего встречается на анестетики (новокаин) и акриловые пластмассы.


Аллергия при пользовании протезами

Аллергия при пользовании протезами

Аллергические реакции отмечаются у лиц, пользующихся протезами, а также работающих с материалами, из которых протезы изготовлены. Эти материалы не имеют белковой природы, следовательно, не могут являться антигенами, но они приобретают эти свойства, когда соединяются с белками тканей организма. Аллергические реакции при пользовании протезами известны очень давно. Отек Квинке, крапивницу и […]


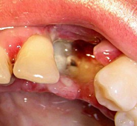
Альвеолит (воспаление лунки зуба)

Этиология: результат инфицирования лунки, возникшего после травматического удаления зуба, сопровождающегося размозжением десневого края, стенки самой лунки. Реже альвеолит развивается в результате вторичного инфицирования из воспалительных очагов полости рта при нарушении послеоперационного режима и гнойного расплавления тромба. Вовлечение в воспалительный процесс нервных элементов периодонта зуба обусловливает возникновение мучительных тягостных болей. Клиническая […]

Альвеолит (воспаление лунки зуба)