Перейти к содержимому
Вернуться на главнуюВернуться на главную

Dr. Arutyun Ervandyan

Dr. Arutyun Ervandyan

  • Контакты
    • Контакты
    • Автобиография
    • Запись на приём
    • Полезные ссылки
  • Лечение
    • Терапевтическая стоматология
      • Пломбирование зубов
      • Лечение пульпита
      • Лечение периодонтита
        • Клинический опыт лечения периапикального абсцесса размером 16 мм
    • Ортопедическая стоматология
      • Керамические вкладки
      • Протезирование на имплантатах
      • Удаление сломанного винта из имплантата
      • Металлокерамические мостовидные протезы
      • Адгезивные мостовидные протезы
      • Шинирование зубов
      • Внутрикорневая литая культевая вкладка
      • Полиуретановые протезы
    • Пародонтология
    • Профилактическая стоматология
  • Наука
    • Автореферат диссертации
    • Изобретения
    • Стоматологические публикации
    • Дипломные проекты
  • Блог
    • Стоматологический блог
    • Зуботехническая лаборатория
    • Студенты
    • Стоматологический юмор
    • Юмор
    • Интернет и WEB
    • Компьютеры и программы
    • Картины
    • Удивительное
    • Без рубрики
  • Медиа
    • WEB
    • Фильмы
  • Справочник
    • МКБ-10
    • Номенклатура медицинских услуг
    • Алфавитный указатель (весь список)
    • Алфавитный указатель (с выбором буквы)
    • Предметный указатель
      • История стоматологии
      • Анатомия
      • Материаловедения в стоматологии
      • Программное обеспечение в стоматологии
      • Фармакология в стоматологии
      • Анестезиология
      • Диагностика в стоматологии
      • Стоматология детского возраста
      • Профилактическая стоматология
      • Ортодонтия
      • Терапевтическая стоматология
      • Заболевания СОПР
      • Заболевания слюнных желёз
      • Ортопедическая стоматология
      • Имплантология
      • Хирургическая стоматология
      • Стоматологическая онкология
Главная » Справочник по стоматологии » Словарь терминов » Акриловый стоматит

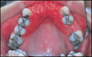
Акриловый стоматит

Эта запись с тегом Заболевания СОПР Ортопедическая стоматология и размещен 04.08.2015

Акриловый стоматит — возникает вследствие токсического действия мономера акриловой пластмассы на слизистую полости рта.

Акриловый стоматит

Акриловый стоматит

Поделиться в:

Навигация по записям

  • ← Адентия
  • Активаторы →

Свежие записи

  • Берлитион® 300
  • Тиамин
  • Выбор отвёрток и ключей для различных систем имплантов

Поиск по сайту

© Ервандян Арутюн Гегамович · Dr.Arut.ru · Все Права Защищены