Архивы: Словарь терминов


Амальгама

сплав металлов, одним из основных компонентов которого является ртуть.


Амальгама медная капсулированная

Амальгама медная капсулированная не требует подогрева. Процесс ее приготовления аналогичен приготовлению серебряной амальгамы. В капсулу помещают определенную порцию порошка и ртути, процесс смешивания осуществляют в амальгамосмесителе. Кроме того, приготовление капсулированной медной амальгамы возможно в амальгамосмесителе с автоматическим дозирующим устройством, т. е. порошок и ртуть помещают в емкость амальгамосмесителя и осуществляют […]


Амальгама медная таблетированная

Амальгама медная таблетированная предназначена для получения пломбировочного материала и последующего пломбирования кариозных полостей I, II и V классов молочных жевательных зубов. Выпускается на Никитовском ртутном комбинате. Медная амальгама представляет собой интерметаллид меди с ртутью с добавками олова, серебра и др. В настоящее время выпускается в таблетированной форме (1 таблетка — […]


Серебряная амальгама Амадент

Амальгама серебряная

Сплав серебряный тонкодисперсный для амальгамы (ССТА-01) предназначен для получения серебряной амальгамы путем смешивания порошка с ртутью в амальгамосмесителе или растиранием их в ступке. Серебряная амальгама применяется для пломбирования кариозных полостей I, II и V классов жевательных зубов, моляров и премоляров. Выпускается серебряный сплав в комплекте с ртутью


Ангина Симановского-Плаут-Венсана (инфекционная ангина)

Этиология. Заболевают чаще юноши, особенно курящие. Причиной является симбиоз веретенообразных палочек и спирохет, которые обитают на миндалинах и при благоприятных условиях вызывают патологический процесс. Ангина поражает одну миндалину, вызывая кратерообразное углубление (диаметр до 1-1,2 см). Клиническая картина. Начало связано с появлением умеренной боли при глотании с одной стороны, субфебрилитета, своеобразного […]


Ангиосаркома (злокачественная гемангиоэндотелиома)

Ангиосаркома (злокачественная гемангиоэндотелиома)

Ангиосаркома (злокачественная гемангиоэндотелиома) — злокачественная сосудистая опухоль. Ангиосаркаома построена из атипичных, беспорядочно анастомозирующих сосудов, выстланных слоями атипичных эндотелиальных клеток. Характеризуется быстрым ростом и ранним, множественным метастазированием. Лечение комбинированное, включающее оперативное вмешательство, лучевую терапию, химиотерапию.


Анемия гипохромная

Анемия гипохромная развивается в результате уменьшения количества эритроцитов или снижения в них гемоглобина (причиной является недостаток железа). Дефицит железа может возникнуть в результате снижения его введения, плохого всасывания или потери крови. Чаще этой болезни подвержены девочки и молодые женщины. Клиническая картина. Слизистая оболочка анемичная, сухая. Эпителий на спинке языка сглажен, ярко-красного […]

Анемия гипохромная

Анемия пернициозная (Аддисона-Бирмера)

Анемия пернициозная (Аддисона-Бирмера)

Анемия пернициозная (Аддисона-Бирмера) развивается вследствие недостатка в желудке фактора Кастля, из-за отсутствия которого попавший с пищей фактор витамина В12 не может всасываться из кишечника. Эти нарушения, связанные с отсутствием в организме витамина В12, приводят к мегалобластическому типу эритропоэза и соответствующим клиническим проявлениям. Клиническая картина анемии пернициозной ярко выражена в полости рта часто […]


Анкилоз височно-нижнечелюстного сустава

Неполная или полная неподвижность сустава. Развивается после травмы (нередко родовой) и воспалительных процессов в области сустава гематогенного генеза или при распространении из соседних областей (периартикулярный абсцесс, остеомиелит височной кости, головки нижней челюсти, средний гнойный отит и др.). Нарушаются зоны роста нижней челюсти. Заболевание обычно встречается у детей до 10 лет […]


Микродентия

Аномалии величины зубов

Макро- и микродентия — зубы большего или меньшего размера по сравнению с нормой. При гармоничном формировании зубочелюстной системы соотношение ширины коронок зубов и формы лица (соотношение его длины и ширины) не нарушается. Различают индивидуальную макро- и микродентию с учетом формы лица, а также абсолютную макродентию, при которой сумма ширины мезио-дистальных размеров коронок верхних четырех резцов равна 35 мм или больше. Чрезмерно большие зубы, чаще верхние центральные резцы, называют гигантскими.


Аномалии зубные

К зубным аномалиям относятся следующие аномалии:
Аномалии положения зубов
Аномалии величины зубов
Аномалия структуры твёрдых тканей зубов
Аномалия формы зубов
Аномалия числа зубов

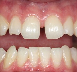
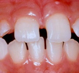
Диастема

Эндопозиция зубов

Аномалии зубных рядов

Характеризуются изменениями их типичной формы и длины, которые обычно сочетаются с аномалиями положения зубов (их скученностью, поворотами по оси, вестибулярным или оральным отклонением или смещением, наличием сверхкомплектных зубов, диастемы, трем и др.), и могут обусловливать аномалии прикуса.


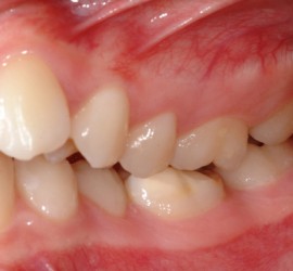
Аномалии прикуса

Отклонения от нормального смыкания (окклюзии) зубных рядов верхней и нижней челюстей. Эти отклонения принято рассматривать в трех направлениях: вертикальном, сагиттальном и трансверсальном.

Открытый прикус

Тетрациклиновые зубы

Аномалии строения и пороки развития зубов

Аномалии строения и пороки развития зубов Пороки тканей зуба многообразны, они могут проявляться изолированно и сочетаться с аномалиями строения и пороками развития органов и систем всего детского организма, в том числе челюстно-лицевой области. Ткани зуба имеют эктодермальное (эмаль) и мезодермальное (дентин, пульпа, цемент) происхождение. В связи с этим пороки эмали […]


Антропометрические методы и специальные обозначения

Антропологические системы условных краниометрических обозначений. Известны две системы условных обозначений цифровая и буквенная. Примером цифровой системы является список Мартина, примером буквенной системы — программа Велькера.


Promark (Dentsply)

Апекслокация

Апекс-локация. Определение длины зуба — это первый важный шаг в препарировании корневого канала. Хотя стоматологи обычно используют рентгенографию для выявления рабочей длины зуба, апикальное отверстие чаще всего не видно на рентгеновском снимке. Многие исследования показывают, что среднее расстояние между апикальным отверстием и непосредственно самим апексом (верхушкой зуба) примерно 0,5-1 мм. На помощь врачу часто приходит апекс-локатор, позволяющий точно определить длину корневого канала и расстояние (мм) до физиологического отверстия. Его принцип работы основывается на свойстве неизменности электрического сопротивления между периодонтальной связкой и слизистой оболочкой рта, которое равно 6,5 кОм в момент, когда кончик инструмента достигает апикального отверстия.


Аппарат ALF

ALF (Advanced Lightwire Functionals) — ортодонтическая техника легких проволок. Аппарат функционирует по принципу мягкой силы, на котором основывается краниальная остеопатия — техника мягкого воздействия на кости черепа (в том числе лицевые), фасции и мозговую оболочку. Аппарат ALF, действуя одновременно в трёх направлениях, позволяет повернуть этот процесс вспять. Аппарат ALF одевается на верхнюю челюсть и […]

Аппарат ALF

Аппарат Pendulum

Аппарат Pendulum

Аппарат Pendulum смещает верхние жевательные зубы назад, расширяя зубной ряд и увеличивая пространство для верхних передних зубов. Несъемная конструкция аппарата включает силовую дугу и кольца, которые надеваются на верхние моляры и премоляры. Опорной частью аппарата служит пластиковая пластина, которая прилегает к передней области неба. Лучшие результаты дистализации зубов достигаются в […]


Аппарат Айнсфора

Аппарат Айнсфора — состоит из опорных колец, укрепляемых на молочных молярах или премолярах с припаянными к ним с вестибулярной стороны вертикальными трубками и с оральной стороны — проволочными касательными балками, прилегающими к зубам, подлежащим перемещению. Зубной ряд расширяется под действием упругой вестибулярной дуги, концы которой изогнуты П-образно и зафиксированы в […]


Аппарат Бегга

Аппарат Бегга

Аппарат Бегга — несъёмный ортодонтический аппарат с использованием тонких, лёгких, круглых, проволочных дуг с замковым приспособлением, в котором тонкая ортодонтическая дуга укрепляется в непосредственном контакте с зубом, что предотвращает действие сил, перемещающих зубы к отстоящей от них дуге, под воздействием фиксирующих лигатур.


Аппарат Брюкля

Аппарат Брюкля — съёмная пластинка для нижней челюсти с наклонной плоскостью в области передних зубов, вестибулярной ретракционной дугой и кламмерами. Пластинка не прилегает к язычной поверхности резцов, что позволяет наклонить их орально путём сжатия петель на дуге. Верхние передние зубы накусывают на наклонную плоскость аппарата, вследствие чего они постепенно отклоняются […]

Аппарат Брюкля

Аппарат Петросова

Аппарат Петросова

Аппарат Петросова применяется для лечения привычного вывиха нижней челюсти. Представляет собой шину, ограничивающую открывание рта. Состоит из фиксирующих элементов (коронки на верхние и нижние зубы) и шарнира с ограничителем. Последний устанавливают для каждого больного индивидуально с таким расчетом, чтобы открывание рта было максимальным, но без выхождения суставной головки за пределы […]


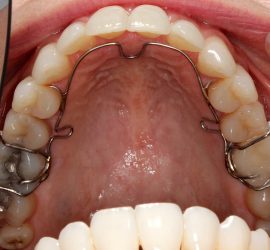
Аппарат ретенционный

Ортопедическое приспособление, предназначенное для удержания зубов, отломков челюстей в определенном положении. Используется для профилактики деформаций зубных дуг у детей после удаления первого моляра, рецидива аномалии и др. Конструкции аппарата весьма разнообразны (шины, съемные протезы, съемные ортодонтические пластинки с Кламмерами, лабиальными дугами и др.).


Аппараты репонирующие (вправляющие, регулирующие)

Аппараты репонирующие (вправляющие, регулирующие) предназначены для вправления (репозиции) костных отломков челюстей путем их перемещения в различных направлениях с целью установки в правильное положение. Конструкции аппаратов различные, но наибольшее распространение получили проволочные алюминиевые шины с эластичной тягой, проволочные упругие дуги, аппараты с внеротовыми регулирующими рычагами, наклонными плоскостями, скользящими шарнирами и др. […]


Аппараты фиксирующие

Шины, протезы, предназначенные для удержания фрагментов челюсти, зубов в определенном положении. Принципиально мало отличаются от ретенционных аппаратов. К ним относятся подбородочные пращи, гладкие проволочные скобы, каппы, проволочные шины с зацепными петлями для межчелюстной фиксации, внеротовые и внутриротовые аппараты для фиксации отломков челюстей, шины для фиксации зубов с патологической подвижностью. Конструкции […]


Артикулятор

Артикуляторы

Приборы, которые с помощью закрепленных в них моделей челюстей позволяют с большей или меньшей точностью воспроизвести основные движения нижней челюсти. Прототипом этих аппаратов является шарнирный окклюдатор, позволяющий совершать моделям лишь вертикальные движения. Все артикуляторы делятся на две группы — со средней и индивидуальной установкой наклона суставных путей и резцового скольжения […]


Артикуляционное равновесие

Теория, созданная Годоном, пытающаяся объяснить механизм перемещения зубов после возникновения изъянов зубных рядов. Артикуляционное равновесие — это непрерывность зубных рядов с сохранением межзубных контактов. При этом напряжение, развиваемое во время жевания, распределяется по естественным каналам и зубные ряды действуют как единое целое, вследствие чего их составляющие отдельные зубы застрахованы от […]

Схема артикуляционного равновесия Годона

Артикуляция зубов

Соотношение зубных рядов при движениях нижней челюсти во время откусывания пищи, жевания, глотания и речи. Частным случаем артикуляции является окклюзия — центральная, правая и левая боковые и передняя. Основными движениями нижней челюсти, создающими различные виды окклюзии зубов, являются переднезадние, боковые и вертикальные. Исходным и конечным положением для всех движений следует […]


Артрит височно-нижнечелюстного сустава

воспаление сустава различного происхождения. Этиология. Воспаление сустава может быть следствием многих причин. Нарушенная артикуляция, снижение прикуса при потере зубов, травма, проникновение инфекции как непосредственно в область сустава, так и метастатическим путем при общем инфекционном заболевании. Причиной может быть специфическая инфекция (сифилис, гонорея), ревматизм. Патогенез. Заболевание может протекать остро или приобретать […]


Артроз височно-нижнечелюстного сустава

Деформирующий артрит, возникающий на фоне долготекущего хронического артрита, как его осложнение вследствие нарушения окклюзии и артикуляции. Клиническая картина. Щелканье и хруст в суставе при движении челюсти, умеренные боли, затруднение при движении челюсти. Диагноз: не затруднен при наличии соответствующих изменений суставной головки на рентгенограмме. Появление переднего подвывиха головки при опускании нижней […]