Аденокарцинома
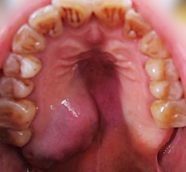
Аденокарцинома — злокачественные эпителиальные опухоли, образующие железистые и папиллярные структуры, но не имеющие характерных признаков других видов рака слюнных желез. Возникают как в больших, так и в малых слюнных железах. Гистологически связаны с протоками слюнных желез. Наиболее характерные морфологические признаки аденокарциномы слюнных желез — пролиферация эпителия в протоковых образованиях в виде […]

