Пародонтоз. В чистом виде встречается редко и характеризуется генерализованным дистрофическим поражением всех тканей пародонта.
Этиология и патогенез. В патогенезе изменений десны и костной ткани при пародонтозе ведущими и определяющими являются нарушения обмена, первичные явления гипоксии, вызванные сосудистыми изменениями, приводящими к нарушению синтеза белка, что укладывается в понятии тканевой дистрофии. Морфологические данные подтверждают и объясняют симптоматику пародонтоза. Наряду с дистрофией эпителия десны в соединительной ткани отмечаются отчетливая коллагенизация структур, дегенерация нервных окончаний, склероз сосудов, а в костной ткани уменьшение костномозговых пространств, склероз сосудов и утолщение компактной пластинки.
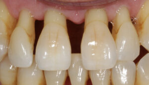
Клиническая картина и диагноз. Клиническая картина пародонтоза характеризуется медленным прогрессирующим течением, диффузным снижением высоты альвеолярного отростка и ретракцией десны. Воспалительные явления отсутствуют. В начальной стадии заболевания больные жалуются на оголение шеек зубов, парестезии, а по мере развития пародонтоза (в развившейся стадии) — на появление диастем и трем, подвижность и смещение зубов. При объективном обследовании выявляется однородность поражения: воспалительные явления отсутствуют, десна анемичная и плотная на всем протяжении, характерна атрофия межзубных сосочков. Глубина зубодесневых карманов в пределах нормы. Эпителиальное прикрепление смещается на цемент корня. Иногда определяются плотные пигментированные зубные отложения, подвижность и дислокация зубов (при значительной убыли кости), наличие клиновидных дефектов и гипоплазий твердых тканей зубов. При рентгенологическом исследовании имеют место горизонтальный тип атрофии альвеолярных перегородок с сохранением кортикальных пластинок, уменьшение костномозговых пространств и мелкоячеистый рисунок кости. Нередко наблюдаются сужение периодонтальной щели и гиперцементоз, а также внутризубные дентикли и петрификаты.
При успешном лечении пародонтоза возможна длительная ремиссия. В остальных случаях течение пародонтоза может осложняться воспалением, локализация и выраженность которого обусловлены действием местных факторов. Симптоматика пародонтоза, осложненного воспалением, зависит от степени дистрофии и выраженности воспаления (гиперестезии, кровоточивость и болевые ощущения). При объективном обследовании отмечаются равномерная ретракция десны с признаками воспаления в области отдельных зубов. В этих участках обнаруживаются неглубокие зубодесневые патологические карманы со скудным отделяемым, поддесневые зубные отложения, усугубляющие воспалительный процесс, подвижность и смещение зубов. Рентгенологическое исследование в зоне воспаления может выявить образование воспалительной резорбции кости и наличие костных карманов.
Реопародонтография с функциональными пробами вазоактивными веществами позволяет выявлять обратимость структурных изменений сосудов пародонта.
Дифференциальный диагноз проводится с состоянием преждевременной атрофии челюстей по данным рентгенологической картины; при осложненных формах — с пародонтитом.
Лечение пародонтоза включает в себя комплекс мероприятий местного и общего характера и при необходимости ортопедического лечения. Проводится с применением препаратов и методов, направленных на улучшение кровообращения и регенерации тканей пародонта. Назначается массаж десен, электрофорез витаминов В, С, 1-2% раствора фторида натрия, особенно при явлениях гиперестезии твердых тканей зубов. Из физиотерапевтических воздействий применяются также воротник по Щербаку и назальный электрофорез растворов новокаина и брома. При осложнениях воспалительного характера и образовании зубодесневых или костных карманов производится хирургическое лечение, как при пародонтите.
Общее лечение проводится в соответствии с состоянием организма и, как правило, назначается врачом соответствующего профиля (терапевт, невропатолог, эндокринолог и др.). При необходимости могут быть применены средства общего воздействия на организм, как при генерализованных гингивитах.


