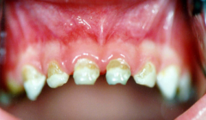
Циркулярный кариес — патологический процесс локализуется в области шейки зуба, поражаются молочные и постоянные зубы. Циркулярный кариес встречается у детей на месте пороков развития молочных зубов, а также системного поражения постоянных зубов очаговой деминерализацией.
Для циркулярного кариеса молочных зубов характерно быстрое распространение процесса в сторону пульпы в группе фронтальных зубов чаще верхней челюсти, однако острые пульпиты отмечаются редко и дети обычно обращаются с явлениями обострения хронического периодонтита. При осмотре обнаруживается типичная картина разрушения коронки циркулярным кариесом. Обострение хронического периодонтита является первым острым процессом. Гибель пульпы и развитие хронического периодонтита происходит бессимптомно. На рентгенограмме можно видеть далеко зашедший хронический гранулирующий периодонтит с выраженной патологической резорбцией корней. Отсутствие защитной воспалительной реакции свидетельствует о пониженной сопротивляемости организма. Если начать своевременно реминерализующую терапию, то наблюдаются случаи, когда при циркулярном кариесе за счет заместительного дентина происходит изоляция корневой пульпы от коронковой. Корневая пульпа продолжает существовать, сохраняя интактным периодонт, в то время как коронка зуба отсутствует. Вход в корневой канал «замурован» плотным пигментированным дентином. Такие корни с живой пульпой длительное время продолжают служить ребенку. Учитывая это, не следует всякий корень зуба считать периодонтитным. Во время осмотра полости рта необходимо проявлять осторожность при зондировании зубов, пораженных циркулярным кариесом. Детям с пороками развития молочных зубов и с факторами риска их возникновения на 1-м году жизни надо проводить реминерализующую терапию.
Лечение должно быть направлено на улучшение общего состояния здоровья ребенка и лечение зубов. Рекомендуется длительное пребывание на свежем воздухе, зимой — облучение ультрафиолетовыми лучами. Назначают витамины С, В , D, А, препараты фторида натрия. Местное лечение зависит от степени поражения тканей и возраста ребенка. Более старшим детям при начальном поражении полезно проводить ремтерапию в сочетании с обработкой 0,2% фторидом натрия (три курса в год по 3-5 процедур).
При поражении постоянных зубов и начальном кариесе проводят ремтерапию по Леусу — Боровскому. При более глубоком кариозном разрушении рекомендуется пломбирование. Дети с различной степенью и разной формой кариеса нуждаются в диспансерном наблюдении. Диспансеризация, проводимая с учетом тяжести и степени компенсации кариеса, позволяет своевременно выявить начальные формы болезни, применить меры и средства профилактики возникновения и развития осложненных форм.


