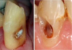
При кариесе цемента происходит поражение цемента корня зуба, начинающееся на его обнаженной поверхности либо распространившееся на цемент корня зуба в результате прогрессирования пришеечного кариеса эмали. Кариес цемента может рассматриваться как осложнение заболеваний пародонта. Отдельные очаги поражения могут возникать в складках щечных корней верхних больших коренных зубов, что обычно наблюдается при плохом уходе за зубами.
Поражение других участков корней зубов может быть связано с нерациональным зубным протезированием. При выраженном ослаблении иммунологической системы, ее клеточного звена, может иметь место быстро прогрессирующее поражение корней значительного числа зубов.
Кариес цемента осложняется воспалением корневой пульпы, периодонтитом, а также может приводить к отлому коронки пораженного зуба.


