Хронический локализованный катаральный (серозный) гингивит.
Развивается вследствие местных воздействий — наддесневых и поддесневых зубных отложений, аномалии прикрепления уздечек губ и языка, нависающих пломб, острых краев кариозных полостей, дефектов протезирования, аномалии положения и скученности зубов, ортодонтического лечения зубочелюстных аномалий, плохого гигиенического состояния полости рта, профессиональных вредностей. При этом ведущая роль в патогенезе принадлежит зубному налету. Зубной налет, находящийся вблизи десны, и факторы ротовой жидкости представляют собой сбалансированную биологическую систему. В случаях нарушения равновесия между бактериальным симбиозом и состоянием слизистой оболочки десны возникают гингивиты. Это равновесие может быть нарушено в результате дополнительного воздействия травмирующих факторов, что приводит к развитию локализованных форм гингивитов. Другой причиной изменения этого равновесия может быть снижение уровней и активности факторов защиты полости рта, что чаще всего наблюдается при нарушениях общего гомеостаза организма и усугубляется неудовлетворительной гигиеной полости рта. При этом у больных развивается генерализованная форма гингивита. В патогенезе гингивитов значительную роль играют эндотоксины грамотрицательной флоры, ферменты микробного происхождения и антигены, что определяет в основном выбор средств и методов лечения и профилактики.
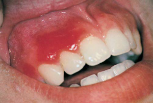
Клиническая картина и диагноз. Клиническая картина хронического катарального гингивита часто протекает без выраженных субъективных ощущений. Иногда больные жалуются на кровоточивость десен при чистке зубов или при приеме твердой пищи и на чувство жжения и расширения в деснах. При обследовании обнаруживаются гиперемия и отек межзубных сосочков и десневого края, который теряет свою фестончатость. При инструментальном исследовании определяются кровоточивость десен, обильный мягкий назубный налет и наддесневой зубной камень, отсутствие патологических зубодесневых карманов.
Дополнительные методы исследования дают следующие показатели: положительная проба Шиллера-Писарева, время образования гематом меньше 60-70 с, значения индексов гигиены более 1,0, а РМА — больше 0. Морфологические изменения при хроническом катаральном гингивите обнаруживаются только в десне. В эпителии определяются участки десквамации, отека, явления паракератоза или акантоза, увеличение межклеточных пространств, накопления кислых мукополисахаридов и гликогена. В соединительной ткани признаки хронического воспаления, т. е. отек, гиперемия, стаз сосудов, увеличение количества лимфоцитов и плазматических клеток.
При реопародонтографии отмечается констрикция сосудов пародонта, о которой свидетельствует высокое расположение дикротического зубца на нисходящей части реограмм.


