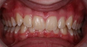
Глубокий прикус (инфраокклюзия) — смыкание зубных рядов, при котором передние зубы в значительной степени перекрывают коронки зубов-антагонистов (т.е. отмечается зубоальвеолярное удлинение). В боковых участках зубных рядов часто наблюдаются недоразвитие альвеолярных отростков и низкие коронки зубов (зубоальвеолярное укорочение). Различают глубокий прикус и глубокое резцовое перекрытие. Для глубокого прикуса характерно такое смыкание зубов, при котором нижние резцы теряют нормальную опору и соскальзывают к десневому краю или упираются в слизистую оболочку неба. Глубокое резцовое перекрытие — понятие более широкое, включающее и глубокий прикус; оно характеризуется резцовым перекрытием на половину высоты коронок резцов и более без учета контактов резцов. В детском возрасте может наступить саморегуляция глубокого прикуса, у взрослых после потери боковых зубов или в случае заболевания пародонта глубокое резцовое перекрытие обычно усугубляется.
- Глубокое резцовое перекрытие
- Глубокий прикус (инфраокклюзия)
Этиология. Врожденная особенность строения лицевого скелета; детские болезни, влияющие на рост и развитие костей (рахит и др.); ранняя потеря молочных моляров и др. При нейтральном соотношении зубных рядов глубокое резцовое перекрытие может быть обусловлено макродентией, наличием диастемы, сверхкомплектных зубов на верхней челюсти или сужением и укорочением переднего участка нижней зубной дуги.
Клиническая картина. В зависимости от про- или ретропозиции верхних резцов изменяется глубина резцового перекрытия. Наиболее выраженная разновидность называется блокирующим прикусом. Нередко глубокий прикус сочетается с дистальным. Предпосылкой к этому являются дистальное положение нижней челюсти и ее зубного ряда по отношению к верхней челюсти, неравномерное развитие челюстей, укорочение ветвей нижней челюсти, особенности конфигурации ее углов, задержка прорезывания зубов и смены молочных зубов постоянными или сочетание этих факторов.
Функциональные нарушения и их последствия выражаются в снижении эффективности жевания, перегрузке передних зубов и травмировании слизистой оболочки, что способствует возникновению заболеваний пародонта и затрудняет его лечение. Эстетические нарушения зависят от степени аномалии и обусловливаются укорочением нижней части лица и некрасивым положением губ.
Диагноз ставят на основании клинического и рентгенографического исследования и изучения диагностических моделей челюстей. К дополнительным методам относятся измерения зубных дуг и их апикального базиса на моделях, а также изучение профиля лица на фотографиях и телерентгенограммах.
Лечение глубокого прикуса наиболее эффективно в периоды активного роста лицевого скелета, прорезывания и смены зубов. Основные задачи лечения — устранение блокирующего фактора, т.е. отклонение верхних резцов, разобщение боковых зубов, расширение суженных зубных рядов и, если нужно, выдвижение нижней челюсти. Детей с молочным прикусом рекомендуется приучать к жеванию твердой пищи (сырых овощей, корок хлеба и др.), что стимулирует нормальное развитие челюстей и зубных рядов. Начальный период смены молочных зубов постоянными является наиболее подходящим для лечения глубокого прикуса, так как даже кратковременное разобщение 6 зубов вызывает их дальнейшее прорезывание до встречи с антагонистами, таким образом, глубина резцового перекрытия уменьшается. Для разобщения прикуса могут быть использованы съемная пластинка с наклонной плоскостью или накусочной площадкой, моноблоковый аппарат, аппарат Френкеля, а также съемные детские протезы. После смены молочных зубов постоянными лечение глубокого прикуса становится более трудным. Применяются те же съемные аппараты, накусочная пластинка Катца, дуги Энгля с одночелюстной и межчелюстной тягой, Бегг- и Эджуайз-техника. При лечении блокирующей формы глубокого прикуса вестибулярное отклонение верхних резцов может быть достигнуто с помощью пластинки для верхней челюсти с протракционной пружиной (или пружинами), расширяющей пластинки с секторальным распилом, направленным к передним зубам, дуги Энгля и др. В процессе лечения глубокого прикуса необходимо стремиться к достижению множественных контактов на боковых зубах. В случае отсутствия боковых зубов после ортодонтического лечения требуется протезирование.



