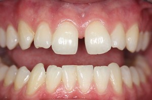
Диастема — щель между центральными резцами, встречается чаще на верхней челюсти, чем на нижней, в результате дисто- или латеропозиции зубов (выделяют в самостоятельную нозологическую форму).
Этиология. Низкое прикрепление мощной уздечки верхней губы, широкая костная перегородка между центральными резцами, частичная адентия (врожденное отсутствие боковых резцов), сверхкомплектные зубы, аномалии формы и величины зубов, ранняя потеря одного из передних зубов, вредные привычки. Нередко диастема наблюдается как семейная особенность.
Клиническая картина. Диастема затрудняет произношение зубных звуков и относится к эстетическим недостаткам. Наличие диастемы может способствовать возникновению открытого прикуса.
Профилактика проводится в начальном периоде смены зубов, т. е. до прорезывания верхних боковых резцов. К профилактическим мероприятиям относятся: удаление сверхкомплектных зубов, перемещение уздечки верхней губы, нарушение плотности костной перегородки между центральными резцами, устранение вредных привычек (сосание пальца, прикусывание нижней губы, закладывание в щель между центральными резцами ногтя, карандаша и др.).
Лечение ортодонтическое или комплексное (хирургическое, ортодонтическое и протетическое). Срок и эффективность лечения зависят от величины диастемы, периода формирования прикуса, расположения центральных резцов, боковых резцов и клыков и их зачатков, а также от наличия вредных привычек. Ортодонтическое лечение можно начинать через 10-12 дней после операции, поэтому аппарат для сближения резцов или перемещения к срединной линии только одного резца нужно приготовить заранее. Для этого применяют пластинку с двумя вестибулярными дугами, пластинку с пружинами, которые огибают центральные резцы и сближают их, коронки с вертикальными штангами для укрепления резиновой тяги или с горизонтальными трубками в сочетании с дугой Энгля, Эджуайз- или Бегг-технику и др. (см. Ортодонтические аппараты и приспособления). Чтобы выбрать аппарат, нужно сначала уточнить расположение корней центральных резцов по отношению к средней линии лица. При этом могут быть установлены латеральное отклонение коронок резцов при правильном расположении верхушек их корней, корпусное латеральное смещение резцов, медиальный наклон их коронок с латеральным расхождением корней, равномерное латеральное смещение центральных резцов или смещение одного из них в большей степени. После устранения диастемы требуется фиксация перемещенных резцов посредством ретенционного аппарата до прорезывания боковых резцов, а при их отсутствии показано протезирование.


