Волчанка красная (рубцующийся эритематоз). Аутоиммунное заболевание, генетически фиксировано с наследственной предрасположенностью по доминантному типу с неравномерной проявляемостью. К провоцирующим волчанку красную факторам относят очаговую хроническую инфекцию, фотосенсибилизацию, расстройства нервной и эндокринной систем.
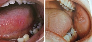
Клиническая картина. В полости рта и на коже лица наиболее часто встречается в хронической дискоидной форме. На лице — очаги поражения в виде резко очерченных с периферическим ростом розово-красных, шелушащихся пятен с тенденцией к слиянию. В очагах поражения различают три зоны: в центре — рубцовая атрофия, далее-гиперкератоз и по периферии-гиперемия. Удаление чешуек сопровождается резкой болезненностью. Слившиеся очаги поражения на щеках и переносице по форме напоминают фигуру бабочки. На слизистой оболочке очаги поражения утрачивают характерные признаки и проявляются гиперкератозом и гиперемией на фоне значительно инфильтрированной опалесцирующей слизистой оболочки чаще дистального отдела щек, ретромолярной области, а также на красной кайме нижней губы. При эрозивно-язвенной форме заболевания язвы очень болезненные, глубокие, щелевидной формы. На красной кайме язвы покрываются корочками. Для заболевания характерны рецидивы.
Диагностика в сложных случаях возможна с помощью прямой РИФ (наличие IgG в области базальной мембраны) и гистологического исследования биоптата слизистой оболочки.
Лечение назначается после обследования больного с целью исключения системности поражения. Начинается с санации организма. Эффективны препараты хлорохинового ряда: делагил, хингамин, плаквенил по 25 мг 2 раза в день 5-10 дней с недельным перерывом до 3 курсов. Положительный результат дает комбинация этих средств с кортикостероидными препаратами: дексаметазоном (5-10 мг/сут) либо триамцинолоном (до 50 мг/сут). Комбинированный препарат пресоцил: 2 таблетки 3 раза в день. Дополнительно назначают нераболил по 0,005 2 раза в день 10-15 дней, препараты калия, внутримышечно витамин В6 (1-2 % раствор по 1,0, курс 10 инъекций). Местно: гигиена полости рта, применение кортикостероидных мазей (оксикорт, локакортен, преднизолон, синалар) 3 раза в день на очаги поражения в течение месяца.


