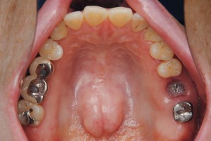
Торус небный — костное возвышение, располагающееся по линии небного шва. Выраженный торус затрудняет протезирование, так как покрывающая его истонченная слизистая оболочка легко повреждается протезом. Слабовыраженный торус изолируют, а значительно выраженный удаляют оперативным путем.


