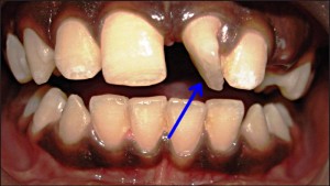
Тортопозиция зубов. Поворот зубов вокруг оси. Наблюдается, как правило, при постоянном прикусе. Чаще других зубов поворачиваются по оси резцы верхней или нижней челюсти, реже — клыки, премоляры и моляры. Поворот зуба бывает небольшим (30-45°) и значительным (более 90°); он может сочетаться с отклонением зуба в вестибулярном, оральном и другом направлении.
Этиология. Недостаток места в зубном ряду, наличие сверхкомплектных или ретинированных зубов, неправильное положение зачатка зуба, вредные привычки (прикусывание ногтя, карандаша и др.).
Клиническая картина. Эстетические и функциональные нарушения, иногда повернувшиеся по оси зубы травмируют зубы противоположной челюсти и расшатывают их.
Диагноз ставят на основании клинического и рентгенологического обследования и изучения диагностических моделей челюстей.
Лечение. Поворот зуба и фиксация его в правильном положении. При составлении плана лечения следует учитывать, что удержать зуб в правильном положении возможно только при наличии достаточного места в зубном ряду. Иначе требуются предварительное расширение зубной дуги или удаление другого зуба. Исправление положения зуба может быть достигнуто применением дуги Энгля и кольца с крючками или кнопками, фиксированного на повернутом зубе. Крючки служат для наложения резиновой тяги и располагаются в соответствии с направлением, требующимся для перемещения зуба. Можно исправить поворот зуба по оси при помощи съемной пластинки с вестибулярной дугой, на которой изогнуты крючки, а на перемещаемом зубе укреплено кольцо с крючками и применяется резиновая тяга. В этом случае одновременно со сжатием петель на дуге надо выпиливать пластмассу в месте прилегания пластинки к небной поверхности зуба. При наличии контакта перемещаемого зуба с антагонистами следует разобщить прикус. После исправления положения повернутого по оси зуба нередко наблюдаются рецидивы, в связи с чем требуется длительный период ретенции. Компактостеотомия около повернутого зуба облегчает его перемещение и предупреждает рецидив аномалии.


