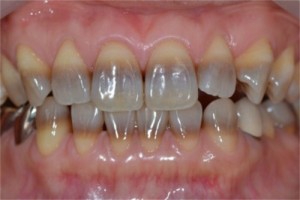
«Тетрациклиновые» зубы. «Тетрациклиновыми» называют зубы с измененной окраской, вызванной приемом тетрациклина. Введенный в организм ребенка для лечения детских инфекционных заболеваний, он откладывается в развивающихся зубах и костях. Применение препарата в период одонтогенеза приводит к изменению цвета зубов, а при введении очень больших доз — к гипоплазии. Тетрациклин откладывается в развивающихся костях и зубах и отрицательно влияет на минеральный обмен в них.
Клиническая картина. Тетрациклин обычно откладывается в дентине, изменяя окраску коронок зубов. Степень окраски, вид гипоплазии и локализация окрашенного участка зависят от вида и количества антибиотика, а также от возраста ребенка, которому проводили лечение тетрациклином. Интенсивность окраски различна: от светло- до темно-желтой.
Локализация окрашенных участков зуба связана с тем периодом одонтогенеза, во время которого принимался тетрациклин. Лечение тетрациклином беременной женщины приводит к изменению окраски молочных передних зубов в резцовой трети коронок, так как он проникает через плацентарный барьер. Прием тетрациклина в первые месяцы жизни ведет к окрашиванию пришеечной области коронок передних зубов и жевательной поверхности моляров, т. е. тех участков молочных зубов, которые формируются в это время. Назначение тетрациклина ребенку 6-месячного возраста ведет к окрашиванию молочных моляров и первых постоянных зубов. Лечение тетрациклином в 2-3-летнем возрасте приводит к окрашиванию передних постоянных зубов в пришеечной области, с 4 лет — к окрашиванию коронок премоляров и второго постоянного моляра.
Зубы, окрашенные тетрациклином в желтый цвет, обладают способностью флюоресцировать под влиянием ультрафиолетовых лучей. С течением времени окраска зубов под влиянием света изменяется. Из желтой она превращается в серую, грязно-желтую или буровато-коричневую. Изменение окраски наблюдается преимущественно на вестибулярной поверхности коронок передних зубов. С изменением окраски утрачивается способность зуба к флюоресценции.
Дифференцировать «тетрациклиновые» зубы необходимо с окрашенными зубами после перенесенной гемолитической болезни новорожденных, получавших препараты железа.
Изменение цвета молочных зубов в желтый, серо-желтый, темно-коричневый, желто-зеленый, коричнево-зеленый, черно-коричневый, серый, зеленый, голубой, лиловый, черный наблюдается у детей, перенесших гемолитическую болезнь новорожденных. Продукты превращения непрямого билирубина, откладываясь в тканях зуба, приводят к их окрашиванию в различные цвета и могут влиять на процесс гистогенеза, обусловливая развитие гипоплазии. Гипоплазия эмали обязательно сочетается с изменением окраски коронок зубов.
Лечение. Рекомендуется отбеливание зубов со стороны корневого канала.
После правильной оценки своих возможностей в осуществлении всех эндодонтических манипуляций рекомендуется под анестезией депульпировать группу фронтальных зубов, провести инструментальное удаление околопульпарного дентина, затем отбеливание дентина перекисью водорода, гидропиритом или пергидролем и пломбирование в пределах верхушек корня белым пломбировочным материалом.


