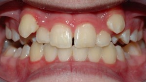
Пропозиция зубов. Вестибулярное отклонение верхних или нижних резцов; в вестибулярном положении нередко находятся клыки, особенно на верхней челюсти.
Этиология. Задержка смены молочных зубов, недостаток места в зубном ряду, неправильное положение зачатков, наличие сверхкомплектных зубов, вредные привычки. Вестибулярное положение клыков верхней челюсти можно объяснить высокой закладкой их зачатков, поздним сроком прорезывания (после соседних зубов — боковых резцов и первых премоляров), смещением передних зубов в дистальном направлении, а боковых в мезиальном и недостатком места в зубной дуге для этих зубов.
Клиническая картина. Вестибулярное отклонение верхних резцов обусловливает функциональные и эстетические нарушения; оно нередко сочетается с дистальным прикусом, наличием трем, неправильным глотанием и ротовым дыханием.
Диагноз ставят на основании клинического и рентгенологического обследования зубных рядов и изучения диагностических моделей челюсти. При этом необходимо установить наличие или отсутствие места для правильного размещения зубов и составить план лечения в соответствии с прогнозом.
Лечение. Перемещение или наклон в оральном направлении вестибулярно расположенных либо отклоненных зубов и удержание их в правильном положении. Одновременно с устранением аномалии необходимо отучить ребенка от вредных привычек (сосание пальца, прикусывание нижней губы, карандаша, ручки и др.) и нормализовать функции дыхания, глотания, речи. При наличии трем между передними зубами и места для сместившихся зубов обычно используют съемную пластинку с кламмерами и вестибулярной ретракционной дугой. В случае нарушенного носового дыхания и вредных привычек назначают вестибулярную пластинку.
Вестибулярно отклоненные передние зубы нижней челюсти могут располагаться впереди верхних зубов, которые в свою очередь наклоняются в оральном направлении. В таких случаях для взаимного перемещения зубов применяют аппарат Брюкля (см. Ортодонтические аппараты и приспособления). Исправление вестибулярного положения клыков нередко затруднено из-за отсутствия места для них. Обычно применяют съемную пластинку для верхней челюсти с винтом, кламмерами и пружинами, оказывающими давление на клыки. При невозможности создания места для клыков путем расширения зубного ряда удаляют первые премоляры или другие зубы. После этого клыки могут правильно установиться в зубном ряду под воздействием массажа либо их перемещают с помощью несъемных аппаратов с одночелюстной и межчелюстной резиновой тягой или съемной пластинки с кламмерами и пружинами. Если еще до прорезывания клыков выясняется, что место для них создать не удается, показано систематическое удаление зубов (по Хотцу): сначала IV молочных для ускорения прорезывания постоянных зубов (первых премоляров), затем постоянных первых премоляров или V молочных зубов до прорезывания клыков.


