Теперь Optiview доступен в двух размерах: Стандартный и Маленький.
- OptiView
- OptiView
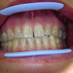
OptiView™ — инновация Kerr, с помощью которой можно просто и надежно удерживать щеки и губы, чтобы обеспечить лучший доступ к рабочему полю. OptiView гарантирует оптимальный обзор и максимальный комфорт при установке. Обычные держатели удерживают, как правило, либо губы, либо щеки, но не все одновременно. Ввиду создаваемого напряжения обычные держатели для губ и щек воспринимаются пациентами негативно. Так как OptiView соответствует анатомии ротовой полости и не создает чрезмерного напряжения, то его чрезвычайно комфортно использовать и в случае продолжительных процедур.
Рамка и подушечки являются автоклавируемыми при 134°C (минимум 3 минуты).
Больше нет необходимости в дополнительной ретракции губ и щек с помощью громоздких инструментов.
Характеристики
Превосходный обзор без помех
- Равномерная ретракция губ и щек делает обзор и доступ к рабочему полю максимальными.
- Простое применение. Благодаря гибкому дизайну OptiView очень просто и легко устанавливается и извлекается.
- Высочайший комфорт для пациента. Анатомический дизайн гарантирует максимальное удобство даже при длительном вмешательстве. Позволяет очень просто разместить отсасывающие устройства
| 5500 | Optiview Standard Kit (стандартный размер) | |||||
| Состав: 2 держателя для губ и щек с подушками для губ | ||||||
| 5502 | Optiview Small Kit (маленький размер) | |||||
| Состав: 2 держателя для губ и щек с подушками для губ | ||||||



