Несовершенное развитие эмали. Известно и под другими названиями: наследственная гипоплазия эмали, аплазия эмали, коричневая эмаль, коричневая гипоплазия эмали, коричневая дистрофия эмали, сморщенная эмаль, несовершенный амелогенез и др.
Клиническая картина. Механизмы развития порока обусловливают различные клинические формы. Эмаль зубов может иметь сморщенную поверхность, коричневую окраску без блеска, интенсивность окраски, усиливающуюся от резцов к молярам. На рентгеновских снимках отклонений от нормы может не обнаруживаться.
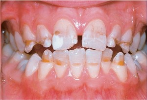
Наследственное нарушение развития эмали может проявиться в ее резком истончении, зубы прорезываются уменьшенными, цилиндрической формы, желтоватой или коричневой окраски.
Несовершенный амелогенез может проявляться в виде рифленой или сморщенной эмали. Коронки зубов часто уменьшены в размере, режущий край у резцов закруглен, бугры премоляров и моляров имеют вид шипов, цвет эмали светло-коричневый. В обоих случаях на поверхности эмали имеется много бороздок различной глубины и протяженности, расположенных преимущественно продольно к оси зуба в направлении от шейки зуба к режущему краю, реже параллельно ему. На рентгенограммах 1/2 или 2/з коронок всех зубов, начиная с режущего края или жевательной поверхности, имеется большая прозрачность, чем в пришеечной области, без резко выраженной границы. На фоне повышенной прозрачности проецируются очаги еще большего просветления в виде точек и полос разной длины, что соответствует величине и расположению борозд на эмали. Эмаль контрастна на апроксимальных поверхностях только в пришеечной области.
Дифференциальный диагноз. Этот вид несовершенного амелогенеза следует дифференцировать с бороздчатой формой неспецифической системной гипоплазии, которая отличается тем, что бороздки на эмали всегда имеют горизонтальное направление с одинаковой локализацией на зубах одного периода развития. Рентгенологически отмечается резкая граница между участками твердых тканей разной плотности.
При всех вариантах несовершенного амелогенеза форма корней, их длина, очертания полости зуба и каналов находятся в пределах нормы. Облитерации каналов не отмечено. Электровозбудимость пульпы не изменена. Большинство детей с этой патологией отмечают повышенную чувствительность зубов к термическим воздействиям и сладкому. Кариес обнаруживается только в зубах, на которых эмалевый покров отсутствует.
Лечение. При незначительно выраженной патологии прибегать к устранению порока в детском возрасте нецелесообразно. Обоснованной является экзогенная ремтерапия. При более выраженной патологии устранение порока возможно путем покрытия зубов искусственными коронками из пластмассы и фарфора. Необходимо подчеркнуть, что коронками покрывают не только группу фронтальных зубов. В первую очередь это относится к жевательным зубам-антагонистам, чтобы вначале установить прикус, а затем, не завышая и не снижая прикуса, покрыть коронками фронтальную группу зубов. При сильном разрушении зубов фронтальной группы в той же последовательности можно приступить к их протезированию, используя штифтовые зубы по Ричмонду, коронки на металлические культи и др.


