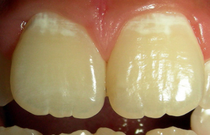
Очаг поражения имеет вид пятна небольшого размера, грязно-серого или белесоватого, нередко не лишенного прозрачности. Контуры его неровные, но достаточно четкие, особенно хорошо видны после прокрашивания раствором метиленового синего. Со временем, если лечение не проводится, степень прокрашивания пятна обычно возрастает. Как правило, кариес в стадии пятна удается обнаружить только на губной и щечной поверхностях зубов, ближе к шейке зуба. Пигментации пятна при этом почти не наблюдается. Острый зонд легко скользит по поверхности таких пятен. Обычно такие поражения не сопряжены с неприятными или болевыми ощущениями.
Зубы с начальным кариесом, как правило, обильно покрыты мягким налетом, в некоторых случаях маскирующим кариозное пятно. После удаления налета обнаруживается грязно-серое пятно с расплывчатыми контурами. Такие поражения, как правило, наблюдаются при острых формах кариеса. Кариозные пятна обычно обнаруживаются на нескольких зубах. Кариес в стадии пятна часто сочетается с развившимися стадиями заболевания в этом же и других зубах, причем кариозное поражение эмали не обнаруживает признаков отграничения процесса.
Начальный хронический кариес, который проявляется в виде пятна бурого либо темно-коричневого цвета, по существу рассматривается как приостановившийся процесс. Пигментированное пятно особенно часто встречается на контактных поверхностях зубов и легко обнаруживается при отсутствии смежного зуба. В области шеек зубов пигментация пятна указывает на благоприятный исход начального кариеса. В области фиссур очаг приостановившегося кариеса практически не удается отличить от алиментарной пигментации складок эмали. Такие пятна обычно не причиняют беспокойства больным, поверхность их гладкая, блестящая. При локализации пигментированного пятна на передних зубах больные обращают внимание лишь на косметическую неполноценность в связи с этим. Считается, что при пятнах больших размеров в патологический процесс вовлекается эмалево-дентинное соединение. При таком условии дезинтеграция поверхностного слоя эмали неизбежна.


