Локализованный пародонтит может быть острым и хроническим. Острые пародонтиты в клинике встречаются очень редко и возникают в результате одномоментной значительной травмы (инструментами при лечении зубов, ортопедическим вмешательством, сильнодействующими химическими и лекарственными веществами).
Этиология и патогенез. Хронические локализованные пародонтиты наиболее часто встречаются при стоматологическом приеме. В патогенезе этого заболевания определяющую роль играют те же факторы, которые приводят к развитию хронических локализованных гингивитов.
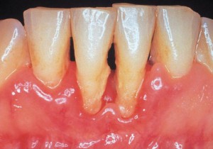
Клиническая картина и диагноз. Клиническая картина характеризуется жалобами больных на кровоточивость десны и боли в области определенных зубов, которые усиливаются при приеме пищи и чистке зубов. Больных беспокоит также подвижность одного или нескольких зубов. При обследовании полости рта выявляются гиперемия и отечность десны на ограниченном участке челюсти, зубодесневые карманы различной глубины с гнойным отделяемым либо с грануляциями. Степень подвижности зуба может быть различной. При обострениях клиническая картина выражена более ярко. К перечисленным симптомам добавляются резкая болезненность десны и альвеолярной части слизистой оболочки, болезненная перкуссия зуба (особенно горизонтальная), значительные затруднения в приеме пищи и чистке зубов.
Нередко при затруднениях оттока гнойного содержимого через зубодесневой карман может формироваться пародонтальный абсцесс. Проба Шиллера-Писарева положительная, позволяет определить границы хронического воспаления, индекс гигиены от 1,0 до 3,5 и более, РМА — более 0, а ПИ составляет 4,0 и выше. Рентгенологическая картина зависит от стадии развития патологического процесса. Начальные стадии пародонтита характеризуются деструкцией кортикальной пластинки вершин межзубных перегородок. В дальнейшем отмечаются остеопороз и вертикальная резорбция межзубных перегородок, нередко с образованием костных карманов и резорбцией цемента корня зуба. Рентгенологически могут быть определены три типа деструктивных процессов. Первый тип характеризуется распространением воспалительной резорбции с вершины межзубной перегородки на губчатое вещество кости и определяется на рентгенограмме в виде их усеченности, второй тип характеризуется воспалительной резорбцией компактной пластинки и губчатого вещества межзубных перегородок со стороны периодонта. Для третьего типа характерно распространение резорбции костной ткани с вершины межзубных перегородок по надкостнице.
Механизм образования зубодесневого кармана до настоящего времени окончательно не выяснен. Вместе с тем на основании современных данных его можно представить следующим образом. Хроническое воспаление десны приводит к разрушению эпителиального прикрепления, к деструкции внутреннего эпителия зубодесневого кармана с последующей пролиферацией эпителия десны по типу акантоза с разрушением периодонта и воспалительной резорбцией кости.
Реопародонтография позволяет выявлять тяжесть функциональных и структурных изменений в сосудистой системе пародонта (см. Функциональная диагностика в стоматологии).


