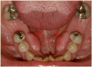
Экзостозы нижней челюсти симметричные — костные образования различной величины и формы, расположенные симметрично на язычной поверхности нижней челюсти против премоляров. Причины их проявления неизвестны. Экзостозы разрастаясь, представляют определенную трудность при протезировании съемными протезами, поэтому иногда их приходится удалять. Если нижняя челюсть беззубая, то удалению подлежит экзостоз только с одной стороны.


