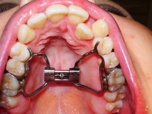
Дерихсвайлера аппарат применяется для расширения верхней челюсти и ее зубного ряда путем раскрытия срединного небного шва. Состоит из колец или коронок, укрепляемых на постоянных молярах и премолярах (иногда и клыках), жестко соединенных между собой проволочными или литыми дугами толщиной 1,1-1,2 мм; дуги прилегают к коронкам остальных боковых зубов. В базисе из пластмассы укрепляют винт и металлическую арматуру. При раскручивании винта давление аппарата передается не только на зубы, но и на альвеолярный отросток, что уменьшает неблагоприятную горизонтальную нагрузку на пародонт опорных зубов и способствует более корпусному их перемещению. В зависимости от вида сужения применяют винты для равномерного или неравномерного раскрытия шва, т.е. для большего раскрытия его в переднем участке. В результате применения аппарата расширяются верхний зубной ряд и его апикальный базис, уменьшается глубина резцового перекрытия, устраняется протрузия резцов, опускается небный свод, что способствует выравниванию искривлений носовой перегородки, увеличению высоты нижней части лица.


