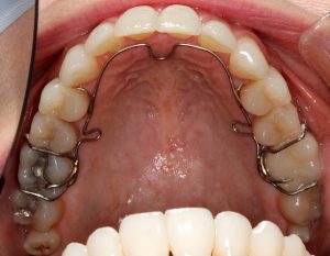
ALF (Advanced Lightwire Functionals) — ортодонтическая техника легких проволок. Аппарат функционирует по принципу мягкой силы, на котором основывается краниальная остеопатия — техника мягкого воздействия на кости черепа (в том числе лицевые), фасции и мозговую оболочку. Аппарат ALF, действуя одновременно в трёх направлениях, позволяет повернуть этот процесс вспять. Аппарат ALF одевается на верхнюю челюсть и применяется с целью разблокировки черепных швов, устранения торсий (скручиваний) и смещений краниальных костей, расширения зубных дуг и создания адекватного пространства для нормального положения языка, что крайне важно для развития «взрослого» процесса глотания. Кроме того, ALF способствует достижению симметрии и передне-горизонтальному развитию лица, что значительно улучшает его эстетику.
Преимущества ALF
- не вызывает боли или дискомфорта,
- невидимый, находится за зубами,
- позволяет легко поддерживать хорошую гигиену полости рта,
- стимулирует нормальное развитие лицевого скелета,
- увеличивает дыхательные пути,
- создает баланс, который позволяет зубам прорезаться в нейтральной зоне, что создает условия для стабилизации зубов и предупреждает возникновение рецидива,
- предупреждает развитие ДВНЧС, храпа и ночного апноэ,
- направлен на устранение причин, вызывающих патологию прикуса.
Развитие дыхательных путей будет способствовать профилактике возникновения храпа и обструктивного ночного апноэ.


