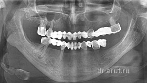
На приём в стоматологическую клинику пришла пациентка Н., которая была протезирована 20 лет назад в Москве. Суть её ортопедического лечения заключалась в изготовлении штампованно-паяного мостовидного протеза с опорами 16-15-23-27 зубы на верхней челюсти и с опорами на 46-43-33-35 зубы нижней челюсти. Протезы прослужили 20 лет. На ортопантомограмме изображены мостовидные протезы после 20-летнего срока службы.
По всем законам природы, в частности билатерального строения человека, данные мостовидные протезы должны были расшатать или сломать опорные зубы через несколько месяцев службы, но как ни странно прослужили («простояли») 20 лет! Но если обратить внимание верхний левый клык разрушился под коронкой и в течение 20 лет, выдвигаясь и разрушаясь, практически полностью разрушился, сохранив микроскопический корень. На момент осмотра пациентки, опорами мостовидного протеза являлись только 2 зуба — 15 и 27! Таким образом мостовидный протез с протяжённостью в 12 зубов удерживался только на 2 зубах! В итоге это привело к расшатыванию 15-го зуба.
Многим пациентам сложно объяснить, почему нельзя с опорой на несколько зубов делать мостовидные протезы по дуге, восстанавливая утрату всех зубов челюсти. Ещё сложнее будет объяснить почему нельзя делать такие протезы после таких клинических случаев, ведь протез с опорами на 4 зубах, заместил 12 зубов. Но в данном случае нужно сделать оговорку. Это редкий случай, ведь если провести статистику, то она вряд ли покажет, что в 95 случаях из 100 протезы прослужили достаточно долго и не привели к потере опорных зубов. Но кроме того, в случае неудовлетворительного исхода такого ортопедического лечения, пациент может спокойно подать в суд на врача и выиграть судебный процесс. Поэтому ни один в здравом уме врач стоматолог-ортопед не станет так рисковать и идти наперекор полученным знаниям в медицинском ВУЗе, клиническому опыту и юридическим аспектам такого лечения. Ведь если всё будет хорошо, то пациент скажет «какой хороший врач, все отказались, а он сделал и протез простоял очень долго» (но это будет годами позже) или же пациент скажет «что за ужасный врач, ведь все же отказались делать, а я сглупил что доверил лечение этому врачу», что приведёт к отрицательным отзывам, пострадает репутация врача + последуют последствия в виде финансовой компенсации лечения за свой счёт с возможной компенсацией морального ущерба. Получается что положительное будет маловероятно и в далёком будущем, так сказать, в отдалённой перспективе, а отрицательное не заставит себя долго ждать и будет в ближайшем будущем. Так стоит ли рисковать и делать такие протезы? Мы считаем что НЕТ! Как бы ни уговаривал пациент и если даже он откажется от любого другого лечения, так как вы не пошли у него на поводу, нужно отказаться. Ведь пациент считает, что специалистом являетесь ВЫ, и в ответе соответственно всегда вы, а не он сам.


