Пульпитом называется воспаление пульпы зуба (рыхлой, волокнистой, соединительной ткань, находящейся в корневой и коронковых полостях зуба). Чаще всего пульпит является осложнением кариеса. В зависимости от типа воспаления пульпы боли могут отсутствовать или же быть разной степени выраженности, т.е. от слабых до крайне сильных. Чаще всего пациент обращается за медицинской помощью только тогда, когда есть боли, особенно сильные. В случае несвоевременного лечения пульпита, инфекция из полости зуба проникает в периодонт и далее может распространиться по кости приводя к периоститу, остеомиелиту, абсцессу и флегмоне. Поэтому очень важно своевременное лечение пульпита, для предотвращения возникновения осложнений.
Существует три способа лечения пульпита:
- Консервативный
- Радикальный
- Смешанный
При консервативном методе лечения пульпа зуба полностью сохраняется. При радикальном методе — ампутация и экстирпация пульпы. При смешанном методе — только ампутация, без экстирпации. Самым предпочтительным методом лечения пульпита является консервативный, т.е. сохранение пульпы жизнеспособной. Зуб без пульпы становится более хрупким, чаще подвержен кариесу, кариозный процесс протекает быстрее, так как не происходит минерализации зуба изнутри. Но самым распространённым методом лечения пульпита является радикальный, т.е. полное удаление пульпы с последующим пломбирование корневых каналов и полости зуба. Очень важно при радикальном лечение произвести инструментальную и медикаментозную обработку канала на всём протяжении или 0,5 мм не доходя до верхушки корня. Для определения длины канала используется специальный аппарата — апекслокатор. После определения длины корневого канала производят его расширение и придание необходимой формы и конусности. Механическую (инструментальную) обработку корневого канала необходимо производить в среде антисептика (гипохлорита натрия). Благодаря этому облегчается инструментальная обработка канала, вымываются опилки дентина из корневого канала, происходит гибель микроорганизмов, находящихся в корневом канале. После завершения инструментальной обработки корневого канала, его промывают 1-1.5% парканом (гипохлоритом натрия) и 3% перекисью водорода. Перекись водорода вступаю в реакцию к гипохлоритом натрия приводит к образования атомарного кислорода и хлора. Являясь одними из самых сильных окислителей они дезинфицируют, а в некоторых случаях стерилизуют корневые каналы. Кроме того образование пузырей способствует выведение опилок из корневого канала. После этого каналы сушатся специальными бумажными штифтами (абсорберами) и пломбируются гуттаперчиевыми штифтами обработанными силерами. Качество пломбирования контролируется с помощью Rg-графии, та как в состав гуттаперчевых штифтов производители специально вводят рентгеноконтрастные вещества.
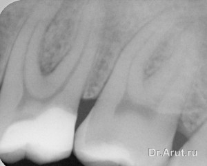
Клинический случай
Пациентка П. обратилась в стоматологическую клинику с жалобами на боли в 46 при попадании пищи в кариозную полость. Пациентке произвели лечение 46 зуба методом пломбирования кариозной полости.
Несколько лет спустя после лечения пациентка обратилась в нашу стоматологическую клинику с жалобами на постоянные ноющие боли в 46. Изучив анамнез заболевания и проведя осмотр пациентки был установлен диагноз обострение хронического пульпита.
Лечение: трепанация зуба через пломбу, вскрытие полости зуба, ампутация и экстирпация пульпы, инструментальная и медикаментозная обработка корневых каналов. Каналы запломбированы гуттаперчевыми штифтами с AH plus методом вертикальной конденсации. Коронковая часть зуба восстановлена композиционным пломбировочным материалом.
- Глубокий кариес
- Обострение хронического пульпита
- Пломбирование каналов зуба




