При несвоевременном лечении кариеса, происходит его осложнение в виде возникновения сначала пульпита, а затем и периодонтита. Очень часто причиной периодонтита является некачественное лечение пульпита, из-за чего инфекция, проникая в периодонт, вызывает его воспаление. Периодонтит лечить намного сложнее, так как до нас «хорошие специалисты успели покопаться» в канале и если повезло, то прошли канал на всю длину и достаточно расширили его. И у врача-стоматолога относительно сложная задача — распломбировать канал. Но к сожалению чаще бывает обратное. Канал частично запломбирован, частично непроходим, а худшей ситуацией является перелом эндодонтического инструмента в верхушечной трети канала. Так как инфекция проникает в костную ткань, а доступа через канал к очагу инфекции нет, то чаще единственным доступным методом лечения периодонтита в стадии обострения является удаление причинного зуба. Поэтому лечение периодонтитных зубов, ранее эндодонтически леченых, является самой сложной задачей в консервативной терапевтической стоматологии.
Суть лечения заключается в распломбировании канала и механическом прохождении всю длину, инструментальное расширение канала с последующей медикаментозной обработка сильными антисептиками (дезинекция), промывание каналов, высушивание и пломбирование канала силером с гуттаперчиевыми штифтами. Если очаг воспаления имеет большой размер, то рекомендуется длительное лечение таких зубов, заключающееся в периодическом обновлении лечебной пасты в корневом канале. Один такой клинический случай представлен по ссылке.
Клинический случай.
Пациен С. обратился в стоматологическую клинику с жалобой на боль в 23 зубе, усиливающуюся при накусывании. Изучение анамнеза заболевания, благодаря наличию истории болезни пациента с записями за последние 5 лет, установило, что в 2010 году 23 зуб был лечён по поводу обострения хронического периодонтита.
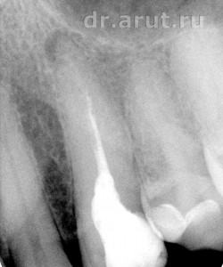
- Хронический периодонтит (Rg-графия 2010-го года)
- Хронический периодонтит (Rg-графия 2010-го года)
- Хронический периодонтит (Rg-графия 2010-го года)
5 лет назад, на момент обострения хронического периодонтита, канал уже был запломбирован, и врач-стоматолог попытался его распломбировать. Но к сожалению попытка не увенчалась успехом. В итоге канал был запломбирован на 2/3-3/4 длины (проходимая часть) форфенаном и гуттаперчиевыми штифтами. После лечения наступила 5-летняя ремиссии, закончившаяся в настоящее время и приведшая к очередному обострению хронического периодонтита.
Объективно: Зуб изменён в цвете. На окклюзионно-дистальной поверхности пломба, занимающая более 80% поверхности. Перкуссия болезненная, ЭОД выше 100µА. Во время ренгенологического исследования в области верхушки корня 23 зуба обнаружен участок просветления с нечёткими контурами размером 3-4 мм.
Диагноз: Обострение хронического периодонтита
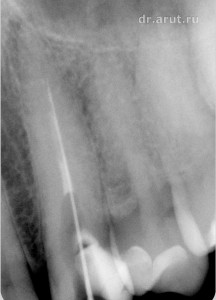
Лечение: После удаления пломбы был обнаружен титановый штифт, который после продолжительных усилий был извлечён, и благодаря этому создан доступ к корневому каналу. Во время распломбирования корневого канала по ходу пломбировочного материала (так как он является ориентиром), оказалось что канал далее непроходим. Проведя Rg-графию 23 зуба вместе с эндодонтическим инструментов выяснили, что в корне 23 зуба создан ложный канал и дальнейшая попытка его прохождения приведёт к перфорации корня. Около верхушки эндодонтического инструмента всё ещё оставалось небольшое количество пломбировочного материала, и было принято решение не продолжать распломбировывать и соответственно оставить его в ложном канале.
Спустя 5 лет сложно уже сказать когда был создан ложный канал — во время последнего лечения, т.е. 5 лет назад, или предпоследнего лечения. Возможно что его не 2 раза лечили, а лечили большее число раз. Сейчас уже это не важно, главное суметь его распломбировать до верхушки.
Такие зубы необходимо лечить под микроскопом, чтоб найти настоящий канал. Но увы очень мало клиник обладают им, а если есть, то врачи всё равно им пользуются редко, только в крайних случаях. Но жизнь показала, что микроскоп не так и необходим, так как его легко можно заменить тем, что есть почти у любого врача… Конечно сложно догадаться что это такое… Ответ очень прост — это современный смартфон, при условии что его фотоаппарат фотографирует качественно и имеет функция макросъёмки. Проведя изучение канала смартфоном, выяснили местонахождение истинного канала и распломбировали его.
- Истинный и ложный канал в клыке
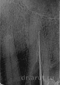
- Прохождение канала на всю длину
Далее провели инструментальную и медикаментозную обработку канала парканом и 3% перекисью водорода. Канал был временно запломбирован каласептом (сроком на 10 дней). Поставлена временная пломба — дентин-паста. После проведения лечения пациент сообщил, что боль полностью исчезла.
10 дней спустя, при обследовании во время повторного приёма выяснили, что перкуссия безболезненная, жалоб на боли нет. Удалили временную пломбу, провели повторную медикаментозную обработку канала парканом и 3% перекисью водорода. Канал высушили и запломбировали силером с гуттаперчиевым штифтом методом вертикальной конденсации.
- Запломбированный канал на всю длину
- Пломбирование канала силером с гуттаперчей
Несколько дней спустя зуб был восстановлен композитом Charisma
- Восстановление зуба композитом
- Зуб восстановлен композитом












