Туберкулез слизистой оболочки полости рта


Туберкулез слизистой оболочки полости рта — первичное инфицирование слизистой оболочки возможно только при условии ее повреждения. На месте внедрения инфекции возникает инфильтрат без острых воспалительных изменений, который через 8-20 дней изъязвляется. Появление язвы, чаще на языке, деснах, губах, сопровождается увеличением подчелюстных лимфатических узлов. Язвы увеличиваются до 1-1,5 см, дно и края их уплотнены, покрыты грязно-серым налетом. Реакция Пирке положительная на 2-4-й неделе заболевания, этой формой чаще страдают маленькие дети.

Туберкулез слизистой оболочки полости рта

Туберкулез слизистой оболочки полости рта

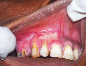
Вторичное поражение слизистой оболочки туберкулезом представляет собой проявление общего туберкулеза с очагами в различных органах и тканях. Может проявляться в форме туберкулезной волчанки и милиарно-язвенного туберкулеза.

При туберкулезной волчанке характерно появление симптомов на коже лица, красной кайме губ и в полости рта. Процесс в полости рта начинается с возникновения в сосочковом слое мелких бугорков, из-за чего слизистая оболочка становится негладкой. Затем бугорки распадаются, образуются отдельные язвы, которые сливаются в более крупную язву чаще всего на щечных поверхностях и на языке. Язвы покрыты желто-красным налетом, края их мягкие, безболезненные. На дне язв имеются папилломатозные образования, скопления туберкулезных палочек.

При милиарно-язвенном туберкулезе бугорковая стадия очень быстро переходит в язвенную. Образуются точечные язвы, которые быстро увеличиваются и сливаются, образуя язвы диаметром до 2,5 см. Они имеют неправильную форму с изъеденными и подрытыми краями с незначительным воспалением окружающей слизистой оболочки. На дне и по краям язвы иногда можно видеть милиарные бугорки желтого цвета (зерна Треля).

Туберкулезные язвы необходимо дифференцировать с сифилитическими и раковыми поражениями. Поставить диагноз помогают лабораторные исследования на наличие возбудителей туберкулеза, бледной спирохеты и серологические реакции Вассермана, РИФ, а также гистологические данные.

Лечение. Основное лечение должен проводить фтизиатр в туберкулезном диспансере или стационаре. Стоматолог этого подразделения проводит симптоматическую терапию: обучает больного гигиеническому уходу за полостью рта. Обрабатывает изъязвленную слизистую оболочку, используя 0,02% раствор хлогексидина, ферменты (трипсин, химотрипсин). На пораженные участки делает аппликации эмульсий и мазей, содержащих антибиотики, фтивазид и другие противотуберкулезные препараты. Санацию проводят в период ремиссии заболевания. Стоматологические инструменты должны обрабатываться и стерилизоваться с особой тщательностью.

Поделиться в: