Шиповидные зубы


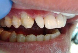
Шиповидные зубы — зубы, коронки которых имеют конусовидную форму. Шиповидными могут быть центральные и боковые резцы, клыки, реже боковые зубы верхней и нижней челюсти. Такая форма зубов наблюдается при частичной адентии. Они могут быть также сверхкомплектными.

Шиповидные зубы

Шиповидные зубы

Этиология не выяснена; предполагается нарушение развития зубных зачатков.
Клиническая картина. Необычная форма шиповидных зубов неудовлетворительна в эстетическом отношении. Кроме того, такие зубы могут травмировать слизистую оболочку.
Лечение. Протезирование (покрытие таких зубов коронками или удаление и замещение их искусственными зубами).

Ссылка: Шиповидные зубы

Поделиться в: