Воспаление мягких тканей вокруг прорезывающегося зуба (чаще третьих нижних моляров).
Этиология. Инвазия микроорганизмов происходит через поврежденную слизистую оболочку, покрывающую непрорезавшийся зуб. При смыкании зубов во время приема пищи и разговора возникает травма слизистой оболочки с образованием пролежня, обусловливая образование входных ворот для инфекции.
Патогенез. Возникшее воспаление слизистой оболочки над непрорезавшимся зубом быстро распространяется на окружающие ткани, вовлекая в процесс также жевательные мышцы, надкостницу и кость, что обусловливает развитие контрактуры мышц (до полного смыкания челюстей), а также возможность образования абсцесса, флегмоны, остеомиелита челюсти.
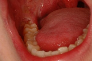
Клиническая картина характеризуется сначала наличием боли в области прорезавшегося зуба и воспалением слизистой оболочки над этим зубом («капюшон»). Вскоре появляется затруднение при открывании рта (контрактура), приводящее к полному смыканию челюстей. Нарастание боли совпадает с распространением воспаления на соседние отделы ретромолярной области, глотки, подчелюстной области, щеки, шеи. Возникает регионарный лимфаденит, ухудшается общее состояние больного, температура тела повышается до 38° С и выше.
При развитии флегмоны или остеомиелита челюсти картина утяжеляется.
Диагноз ставится на основании характерных проявлений и локализации воспалительного процесса. Подтверждающим аргументом является рентгенограмма, на которой выявляется прорезывающийся зуб или его ретенция.
Течение и осложнения. Процесс может рецидивировать в случаях нерадикального лечения. Заболевание иногда осложняется абсцессом, флегмоной или остеомиелитом челюсти.
Лечение. Под местным обезболиванием иссекают слизистую оболочку над прорезывающимся зубом, обнажая полностью его жевательную поверхность. Тампоном предупреждают повторный «наплыв» слизистой оболочки на коронку зуба. При развитии периостита необходимо вскрыть гнойник.
Наличие флегмоны или остеомиелита требует соответствующего лечения. Местно используют полоскания, физиотерапию, особенно освещение гелий-неоновым лазером, сухое тепло снаружи. В отдельных случаях требуется общее лечение (антибиотики, сульфаниламиды).
При повторном развитии заболевания решается вопрос об удалении зуба.
Прогноз серьезный при развитии осложнения в виде флегмоны или остеомиелита челюсти.


