Переломы зубов — повреждения зуба с нарушением целости его коронковой или корневой части. Травма зубов может сопровождаться разрушением лунки зуба, переломами альвеолярного отростка или челюстей.
Согласно классификации Г. М. Иващенко, различают:
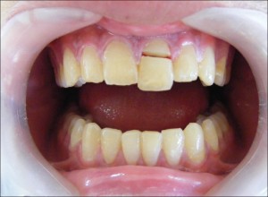
1) переломы неполные (без вскрытия пульпы): трещины эмали и дентина, краевой перелом коронки с отрывом эмали, краевой перелом коронки с отрывом эмали и дентина;
2) переломы полные (со вскрытием пульпы): открытые и закрытые шейки зуба, корня, верхушки корня;
3) вывих зуба из лунки, отрыв зуба вместе с краем альвеолярного отростка;
4) вколачивание зубов.
Клиническая картина. Боли в зубе во время травмы, усиливающиеся при нагрузке (острый травматический пульпит), кровоизлияние в пульпу зуба вызывает розовую окраску его коронки, подвижность зуба, дефекты коронки. Точный диагноз и степень повреждения корня зуба устанавливается после рентгенологического исследования, которое следует проводить так, чтобы зуб был виден на всем протяжении. Симптомом перелома зуба является наличие полосы просветления разной ширины, иногда смещение отломков.
Лечение. Объем помощи определяется уровнем и характером перелома. При повреждении эмали и дентина без вскрытия пульпы зуба следует сошлифовать острые края коронки. При переломе коронки с вскрытием пульпы последнюю необходимо удалить под анестезией, запломбировать канал корня зуба и восстановить анатомическую форму зуба (коронка, штифтовый зуб). При переломах корней зубов возможность сохранения зуба определяется индивидуально. Для этой цели используются фиксирующие шины из алюминиевой или стальной проволоки или каппы из быстротвердеющей пластмассы (см. Переломы альвеолярного отростка). При значительных разрушениях зубы удаляют.
Переломы зубов у детей.
Перелому подвергаются чаще всего фронтальные зубы верхней челюсти (молочные и постоянные).
Лечение зависит от возраста ребенка, общего состояния, степени формирования корней зубов, клинической картины.
В возрасте до 2,5 лет, когда еще не закончено формирование корней молочных зубов, переломы наблюдаются очень редко; чаще бывают вывихи или погружение зуба в лунку, т. е. вколоченные переломы (см. Вывих зуба). В случаях потери в этом возрасте ряда молочных резцов показано замещение их съемными детскими протезами. В возрасте от 2,5 до 4,5 лет рекомендуется сохранение молочных резцов, их лечение и восстановление коронковой части пломбами из быстротвердеющей пластмассы. В возрасте от 5 до 7 лет вывихи временных зубов наблюдаются чаще, чем переломы. Зубы удаляют без последующего протезирования.
При переломе постоянных зубов — протезирование.


