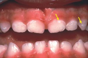
Очаговая деминерализация эмали (белое кариозное пятно, начальная стадия кариеса) — одна из самых ранних клинически диагностируемых стадий кариеса зубов. В клинике проявляется в виде матовых серовато-белых пятен с нечеткими границами, тусклого оттенка, обычно располагающихся в области шейки зуба, жевательной поверхности фиссур. Величина пятна может колебаться от еле различимого до занимающего по площади половину поверхности зуба.
Патоморфологическая картина очаговой деминерализации заключается в частичной потере в центре пятна минеральной фазы эмали, в основном в поверхностном ее слое. В первую очередь утрачиваются соли кальция, что ведет к изменению цвета эмали, увеличению проницаемости и электропроводности в очаге поражения. Белковая матрица эмали в этой стадии болезни не изменена, и это является залогом обратимости процесса. Окружающая эмаль не нарушена. Изменения проницаемости проявляются в способности очага деминерализации окрашиваться красителями. Это свойство используется как диагностический и дифференциально-диагностический признак очаговой деминерализации эмали с гипоплазией и флюорозом. Для диагностики на поверхность эмали накладывается ватный тампон с 3% раствором метиленового синего. Спустя 5 мин тампон снимается и краситель отмывается. Если пятно сохраняет окраску, это свидетельствует об очаговой деминерализации эмали. Чем выше степень окраски пятна, тем более активное нарушение проницаемости наблюдается в зубе (проба Боровского-Аксамит). Очаговую деминерализацию можно диагностировать также по увеличению электропроводности.
Клинические наблюдения показывают, что чем больше размер пятна, выше его проницаемость, тем более активно течет очаговая деминерализация эмали. При далеко зашедшем процессе наблюдается нарушение рисунка перикиматий на поверхности эмали, свидетельствующие о поверхностной очаговой деминерализации.
Возможны 3 клинических исхода очаговой деминерализации. Примерно в 20- 40% случаев наблюдается увеличение очаговой деминерализации и на ее месте развивается поверхностный кариес. В 20-30% имеет место самопроизвольное обратное развитие деминерализации и исчезновение пятна. В остальных случаях развитие очаговой деминерализации приостанавливается на неопределенное время.
Накопленный опыт показал, что очаговая деминерализация эмали наиболее часто встречается у детей. В различных регионах страны она отмечается у 15-40% детей, наибольшая в возрасте 9-11 лет, когда у ребенка в среднем отмечается от 1 до 20 очагов. Наличие очаговой деминерализации эмали является точным критерием активного течения кариеса и требует активных профилактических и лечебных мероприятий. При этом ведущим методом является реминерализующая терапия.
Так как очаговая деминерализация эмали является единственно обратимой стадией кариеса, то врач должен предпринять все возможное для сохранения интактного зуба и обратного развития заболевания. Для лечения применяются аппликации фторидов, ремодента, глюконата кальция и др. Позитивная динамика очаговой деминерализации эмали является ранним и значимым признаком успешности профилактических мероприятий, поэтому при их проведении имеет большое значение контроль за динамикой очаговой деминерализации эмали.


